购物车
  • TargetMol
    您的购物车当前为空

Anti-3-Nitro-L-tyrosine Polyclonal Antibody

Synonyms: 酪氨酸硝基化, nTyr, NO tyrosine, nitro-Tyrosine, Nitrotyrosine, 3-Nitrotyrosine
货号 TMAB-00003 一键复制产品信息
Rating icon 还可以

Anti-3-Nitro-L-tyrosine Polyclonal Antibody 是一种 Rabbit 抗体,靶向 3-Nitro-L-tyrosine。Anti-3-Nitro-L-tyrosine Polyclonal Antibody 可用于 FCM, IF, IHC-Fr, IHC-P, WB。

Anti-3-Nitro-L-tyrosine Polyclonal Antibody

一键复制产品信息
Rating icon 还可以
货号 TMAB-00003

别名 酪氨酸硝基化, nTyr, NO tyrosine, nitro-Tyrosine, Nitrotyrosine, 3-Nitrotyrosine

Anti-3-Nitro-L-tyrosine Polyclonal Antibody 是一种 Rabbit 抗体,靶向 3-Nitro-L-tyrosine。Anti-3-Nitro-L-tyrosine Polyclonal Antibody 可用于 FCM, IF, IHC-Fr, IHC-P, WB。

Anti-3-Nitro-L-tyrosine Polyclonal Antibody
规格价格库存数量
50 μL
¥ 1,170
5日内发货
100 μL
¥ 1,970
5日内发货
200 μL
¥ 2,795
5日内发货
库存状态实时更新,以官网显示为准,现货产品可直接加购物车下单
大包装 & 定制
加入购物车
TargetMol的所有产品仅用作科学研究或药证申报,不能被用于人体,我们不向个人提供产品和服务。请您遵守承诺用途,不得违反法律法规规定用于任何其他用途。
实验操作小课堂
常见问题解答
查看更多

资源下载:产品操作手册

产品介绍


生物活性
产品描述
Anti-3-Nitro-L-tyrosine Polyclonal Antibody is a Rabbit antibody targeting 3-Nitro-L-tyrosine. Anti-3-Nitro-L-tyrosine Polyclonal Antibody can be used in FCM, IF, IHC-Fr, IHC-P, WB.
别名酪氨酸硝基化, nTyr, NO tyrosine, nitro-Tyrosine, Nitrotyrosine, 3-Nitrotyrosine
Ig Type
IgG
反应种属
Species independent
验证活性
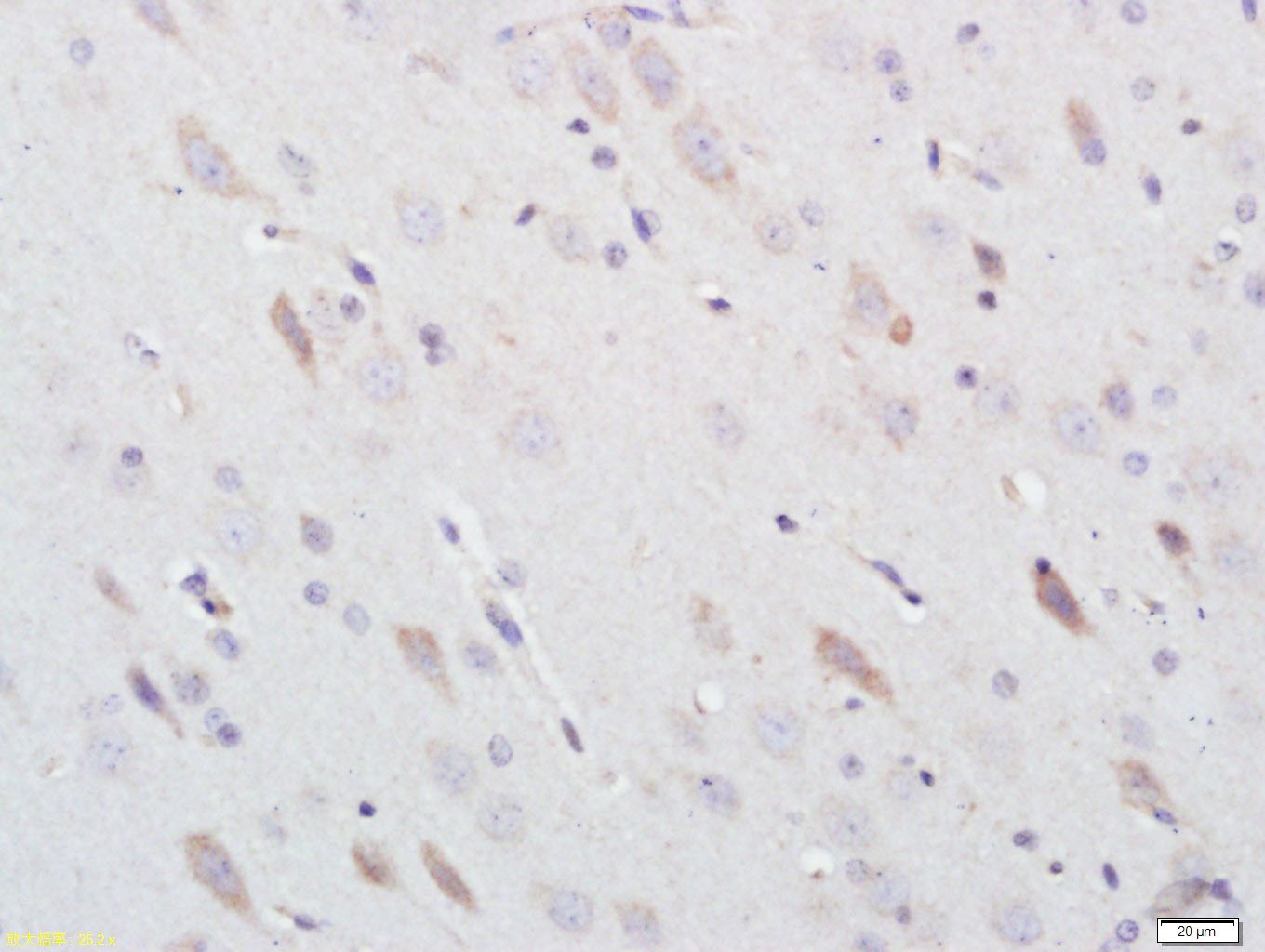
1. Tissue/cell: rat brain tissue; 4% Paraformaldehyde-fixed and paraffin-embedded;
Antigen retrieval: citrate buffer (0.01M, pH6.0), Boiling bathing for 15 min; Block endogenous peroxidase by 3% Hydrogen peroxide for 30 min; Blocking buffer (normal goat serum) at 37°C for 20 min;
Incubation: Anti-Nitro tyrosine Polyclonal Antibody, Unconjugated (TMAB-00003) 1:500, overnight at 4°C, followed by conjugation to the secondary antibody and DAb staining.
2. Blank control: Hela (blue), the cells were fixed with 2% paraformaldehyde (10 min) and then permeabilized with ice-cold 90% methanol for 30 min on ice.
Isotype Control Antibody: Rabbit Igg (orange);
Secondary Antibody: Goat anti-rabbit IgG-FITC (white blue),
Dilution: 1:100 in 1 X PBS containing 0.5% BSA;
Primary Antibody Dilution: 1 μg in 100 μL 1X PBS containing 0.5% BSA (green).
3. Sample: 3-Nitrotyrosine-BSA conjugate Protein
Primary: Anti-3-Nitrotyrosine (TMAB-00003) at 1/300 dilution
Secondary: IRDye800CW Goat Anti-Rabbit IgG at 1/20000 dilution
verifiedActivityverifiedActivityverifiedActivity
应用FCMIFIHC-FrIHC-PWB
推荐剂量
FCM=1 μg/Test; IF=1:100-500; IHC-Fr=1:100-500; IHC-P=1:100-500; WB=1:500-2000
抗体种类
Polyclonal
宿主来源Rabbit
亚细胞定位Cytoplasm.
构建方式Polyclonal Antibody
纯化方式Protein A purified
性状Liquid
缓冲液0.01M TBS (pH7.4) with 1% BSA, 0.02% Proclin300 and 50% Glycerol.
浓度1 mg/mL
研究背景Nitrotyrosine is a marker for inflammation and nitric oxide (NO) production and is formed in the presence of the active metabolite NO. Because nitrotyrosine is a stable product of multiple pathways, such as the formation of peroxynitrite, its plasma concentration may be a useful determinant of NO-dependent damage in vivo. Nitrotyrosine has been detected in inflammatory processes such as septic shock, rheumatoid arthritis, celiac disease, atherosclerotic plaques and chronic renal failure. Protein tyrosine nitration results in a post-translational modification that is increasingly receiving attention as an important component of nitric oxide signaling. While multiple nonenzymatic mechanisms are known to be capable of producing nitrated tyrosine residues, most tyrosine nitration events involve catalysis by metalloproteins such as myeloperoxidase, eosinophilperoxidase, myoglobin, the cytochrome P-450s, superoxide dismutase and prostacyclin synthase. Various studies have shown that protein tyrosinenitration is limited to specific proteins and that the process is selective. For example, exposure of human surfactant protein A, SP-A, to oxygen-nitrogen intermediates generated by activated alveolar macrophages resulted in specific nitration of SP-A at tyrosines 164 and 166, while addition of 1.2 mMCO 2 resulted in additional nitration at tyrosine 161. The presence of nitrotyrosine-containing proteins has shown high correlation to disease states such as atherosclerosis, Alzheimer’s disease, Parkinson’s disease and amyotrophic lateral sclerosis.
抗原信息
免疫原
KLH conjugated Nitrotyrosine
研究领域
Signal transduction proteins ELISA kits,Amino Acids
化学信息
分子量Actual: 73 kDa.
储存&溶解度
储存方式Store at -20°C or -80°C for 12 months. Avoid repeated freeze-thaw cycles.
运输方式Shipping with blue ice.

计算器

  • 稀释 计算器
  • 配液 计算器
Related Tags: buy Anti-3-Nitro-L-tyrosine Polyclonal Antibody | purchase Anti-3-Nitro-L-tyrosine Polyclonal Antibody | Anti-3-Nitro-L-tyrosine Polyclonal Antibody cost | order Anti-3-Nitro-L-tyrosine Polyclonal Antibody | Anti-3-Nitro-L-tyrosine Polyclonal Antibody molecular weight