购物车
  • TargetMol
    您的购物车当前为空

Anti-CALM1 Antibody (9G576)

Synonyms: CAMIII, CAMC, CAMB, CAM3, CAM2, CAM1, CaM, Calmodulin, CALML2, CALM3, CALM2, CALM1, CALM
货号 TMAC-00526 一键复制产品信息
Rating icon 还可以

Anti-CALM1 Antibody (9G576) 是一种 Rabbit 抗体,靶向 CALM1。Anti-CALM1 Antibody (9G576) 可用于 ICC/IF,IHC,IP,WB。

Anti-CALM1 Antibody (9G576)

一键复制产品信息
Rating icon 还可以
货号 TMAC-00526

别名 CAMIII, CAMC, CAMB, CAM3, CAM2, CAM1, CaM, Calmodulin, CALML2, CALM3, CALM2, CALM1, CALM

Anti-CALM1 Antibody (9G576) 是一种 Rabbit 抗体,靶向 CALM1。Anti-CALM1 Antibody (9G576) 可用于 ICC/IF,IHC,IP,WB。

Anti-CALM1 Antibody (9G576)
规格价格库存数量
50 μL
¥ 1,490
5日内发货
100 μL
¥ 2,485
5日内发货
库存状态实时更新,以官网显示为准,现货产品可直接加购物车下单
大包装 & 定制
加入购物车

TargetMol的所有产品仅用作科学研究或药证申报,不能被用于人体,我们不向个人提供产品和服务。请您遵守承诺用途,不得违反法律法规规定用于任何其他用途。

实验操作小课堂
常见问题解答
查看更多

资源下载:产品操作手册

产品介绍


生物活性
产品描述
Anti-CALM1 Antibody (9G576) is a Rabbit antibody targeting CALM1. Anti-CALM1 Antibody (9G576) can be used in ICC/IF,IHC,IP,WB.
别名
CAMIII, CAMC, CAMB, CAM3, CAM2, CAM1, CaM, Calmodulin, CALML2, CALM3, CALM2, CALM1, CALM
Ig Type
IgG
克隆号
9G576
反应种属
Human,Mouse,Rat
验证活性
1. Western blot analysis of Calmodulin on rat brain lysates using anti-Calmodulin antibody at 1/1,000 dilution.
2. Immunohistochemical analysis of paraffin-embedded mouse brain tissue using anti-Calmodulin antibody. Counter stained with hematoxylin.
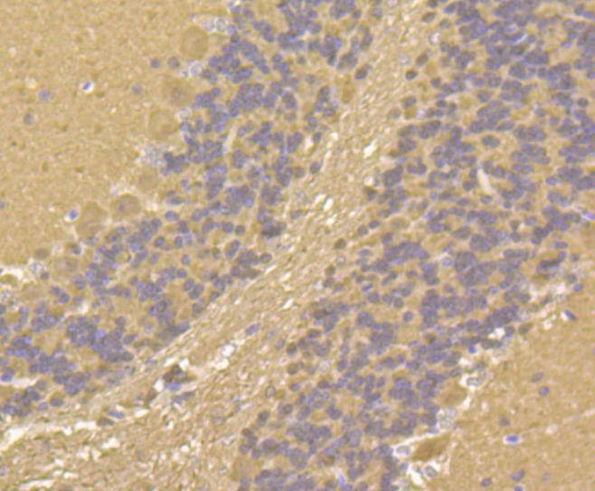
3. Immunohistochemical analysis of paraffin-embedded mouse cerebellum tissue using anti-Calmodulin antibody. Counter stained with hematoxylin.
4. ICC staining Calmodulin in Hela cells (green). The nuclear counter stain is DAPI (blue). Cells were fixed in paraformaldehyde, permeabilised with 0.25% Triton X100/PBS.
5. ICC staining Calmodulin in MCF-7 cells (green). The nuclear counter stain is DAPI (blue). Cells were fixed in paraformaldehyde, permeabilised with 0.25% Triton X100/PBS.
6. ICC staining Calmodulin in NIH/3T3 cells (green). Cells were fixed in paraformaldehyde, permeabilised with 0.25% Triton X100/PBS.
verifiedActivityverifiedActivityverifiedActivityverifiedActivityverifiedActivityverifiedActivity
应用ICC/IFIHCIPWB
推荐剂量
WB: 1:1000; IHC: 1:50-200; ICC/IF: 1:50-200
抗体种类
Monoclonal
宿主来源Rabbit
构建方式Recombinant Antibody
纯化方式ProA affinity purified
性状Liquid
缓冲液1*TBS (pH7.4), 1%BSA, 40%Glycerol. Preservative: 0.05% Sodium Azide.
研究背景The level of intracellular calcium is tightly regulated in all eukaryotic cells. A modest increase in this level can result in a myriad of physiological responses, most of which are mediated by calmodulin (CaM), the universal calcium sensor. CaM directly modulates the activity of protein kinases and phosphatases, ion channels and nitric oxide synthetases. It is generally involved in such diverse processes as cell proliferation, endocytosis, cellular adhesion, protein turn over and smooth muscle contraction. CaM (calmodulin) is an acidic protein, 148 amino acids in length, with four helix-loop-helix calcium binding domains. In humans, 3 distinct genes have been identified (CALM1, CALM2 and CALM3); each encoding the identical protein. CALML3 (calmodulin-like 3, or calmodulin-related protein NB-1) shares significant sequence identity with CaM and it is suggested that it may competitively bind CaM substrates. Interestingly, CaM has been shown to associate with the carboxy terminus of the dystrophin gene product, implying that it may regulate its activity.
偶联与修饰
偶联
Unconjugated
抗原信息
免疫原
Recombinant Protein
Uniprot ID
化学信息
分子量Theoretical: 17 kDa.
储存&溶解度
储存方式Store at -20°C or -80°C for 12 months. Avoid repeated freeze-thaw cycles.
运输方式Shipping with blue ice.

计算器

  • 稀释 计算器
  • 配液 计算器
Related Tags: buy Anti-CALM1 Antibody (9G576) | purchase Anti-CALM1 Antibody (9G576) | Anti-CALM1 Antibody (9G576) cost | order Anti-CALM1 Antibody (9G576) | Anti-CALM1 Antibody (9G576) molecular weight