购物车
  • TargetMol
    您的购物车当前为空

Anti-DYNLL1 Antibody (5G489)

Synonyms: Protein Inhibitor of Neuronal Nitric Oxide Synthase, PIN, HDLC1, DYNLL1, Dynein Light Chain LC8-Type 1, Dynein Light Chain 1 Cytoplasmic, DNCLC1, DNCL1, DLC8, DLC1, 8 kDa Dynein Light Chain
货号 TMAC-01200 一键复制产品信息
Rating icon 还可以

Anti-DYNLL1 Antibody (5G489) 是一种 Rabbit 抗体,靶向 DYNLL1。Anti-DYNLL1 Antibody (5G489) 可用于 ICC/IF,IHC,IP,WB。

Anti-DYNLL1 Antibody (5G489)

一键复制产品信息
Rating icon 还可以
货号 TMAC-01200

别名 Protein Inhibitor of Neuronal Nitric Oxide Synthase, PIN, HDLC1, DYNLL1, Dynein Light Chain LC8-Type 1, Dynein Light Chain 1 Cytoplasmic, DNCLC1, DNCL1, DLC8, DLC1, 8 kDa Dynein Light Chain

Anti-DYNLL1 Antibody (5G489) 是一种 Rabbit 抗体,靶向 DYNLL1。Anti-DYNLL1 Antibody (5G489) 可用于 ICC/IF,IHC,IP,WB。

Anti-DYNLL1 Antibody (5G489)
规格价格库存数量
50 μL
¥ 1,480
5日内发货
100 μL
¥ 2,480
5日内发货
库存状态实时更新,以官网显示为准,现货产品可直接加购物车下单
大包装 & 定制
加入购物车

TargetMol的所有产品仅用作科学研究或药证申报,不能被用于人体,我们不向个人提供产品和服务。请您遵守承诺用途,不得违反法律法规规定用于任何其他用途。

实验操作小课堂
常见问题解答
查看更多

资源下载:产品操作手册

产品介绍


生物活性
产品描述
Anti-DYNLL1 Antibody (5G489) is a Rabbit antibody targeting DYNLL1. Anti-DYNLL1 Antibody (5G489) can be used in ICC/IF,IHC,IP,WB.
别名
Protein Inhibitor of Neuronal Nitric Oxide Synthase, PIN, HDLC1, DYNLL1, Dynein Light Chain LC8-Type 1, Dynein Light Chain 1 Cytoplasmic, DNCLC1, DNCL1, DLC8, DLC1, 8 kDa Dynein Light Chain
Ig Type
IgG
克隆号
5G489
反应种属
Human,Mouse,Rat
验证活性
1. Western blot analysis of DYNLL1 on MCF-7 cells lysates using anti-DYNLL1 antibody at 1/1,000 dilution.
2. Immunohistochemical analysis of paraffin-embedded mouse liver tissue using anti-DYNLL1 antibody. Counter stained with hematoxylin.
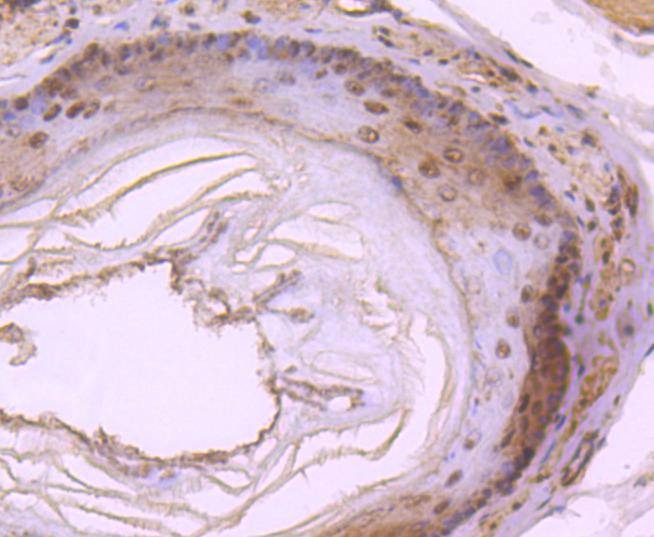
3. Immunohistochemical analysis of paraffin-embedded rat esophagus tissue using anti-DYNLL1 antibody. Counter stained with hematoxylin.
4. ICC staining DYNLL1 in Hela cells (green). The nuclear counter stain is DAPI (blue). Cells were fixed in paraformaldehyde, permeabilised with 0.25% Triton X100/PBS.
5. ICC staining DYNLL1 in HepG2 cells (green). The nuclear counter stain is DAPI (blue). Cells were fixed in paraformaldehyde, permeabilised with 0.25% Triton X100/PBS.
6. ICC staining DYNLL1 in 293T cells (green). The nuclear counter stain is DAPI (blue). Cells were fixed in paraformaldehyde, permeabilised with 0.25% Triton X100/PBS.
verifiedActivityverifiedActivityverifiedActivityverifiedActivityverifiedActivityverifiedActivity
应用ICC/IFIHCIPWB
推荐剂量
WB: 1:1000-2000; IHC: 1:50-200; ICC/IF: 1:50-200
抗体种类
Monoclonal
宿主来源Rabbit
构建方式Recombinant Antibody
纯化方式ProA affinity purified
性状Liquid
缓冲液1*TBS (pH7.4), 1%BSA, 40%Glycerol. Preservative: 0.05% Sodium Azide.
研究背景Dyneins are multisubunit, high molecular weight ATPases that interact with microtubules to generate force by converting the chemical energy of ATP into the mechanical energy of movement. Cytoplasmic or axonemal Dynein heavy, intermediate, light and light-intermediate chains are all components of minus end-directed motors; the complex transports cellular cargos towards the central region of the cell. The highly conserved DYNLL proteins were originally identified as light chains for microtubule-based motor protein Dynein. In mammals there are two closely related isoforms expressed, DYNLL1 and DYNLL2 which share 93% sequence identity at the protein level. DYNLL1 (Dynein light chain 1) also designated, DLC8 or PIN (Protein inhibitor of neuronal nitric oxide synthase) has been identified as a protein that interacts with NOS1 resulting in NOS1 inhibition. Dimerization is required for NOS1 activity and DYNLL1 has been shown to destabilize the NOS1 dimer. Nitric oxide may be involved in several processes such as apoptosis, synaptogenesis and neuronal development; thus DYNLL1 is implicated in these processes as well. DYNLL1 is a ubiquitously expressed protein that exhibits high expression in testis and moderate expression in brain.
偶联与修饰
偶联
Unconjugated
抗原信息
免疫原
Recombinant Protein
Uniprot ID
化学信息
分子量Theoretical: 10 kDa.
储存&溶解度
储存方式Store at -20°C or -80°C for 12 months. Avoid repeated freeze-thaw cycles.
运输方式Shipping with blue ice.

计算器

  • 稀释 计算器
  • 配液 计算器
Related Tags: buy Anti-DYNLL1 Antibody (5G489) | purchase Anti-DYNLL1 Antibody (5G489) | Anti-DYNLL1 Antibody (5G489) cost | order Anti-DYNLL1 Antibody (5G489) | Anti-DYNLL1 Antibody (5G489) molecular weight