购物车
  • TargetMol
    您的购物车当前为空

Anti-YY1 Antibody (5H894)

Synonyms: δ transcription factor, Yin and yang 1, Transcriptional repressor protein YY1, NF-E1, INO80S, INO80 complex subunit S, Delta transcription factor
货号 TMAC-04311 一键复制产品信息
Rating icon 还可以

Anti-YY1 Antibody (5H894) 是一种 Rabbit 抗体,靶向 YY1。Anti-YY1 Antibody (5H894) 可用于 ICC/IF,IHC,IP,WB。

Anti-YY1 Antibody (5H894)

一键复制产品信息
Rating icon 还可以
货号 TMAC-04311

别名 δ transcription factor, Yin and yang 1, Transcriptional repressor protein YY1, NF-E1, INO80S, INO80 complex subunit S, Delta transcription factor

Anti-YY1 Antibody (5H894) 是一种 Rabbit 抗体,靶向 YY1。Anti-YY1 Antibody (5H894) 可用于 ICC/IF,IHC,IP,WB。

Anti-YY1 Antibody (5H894)
规格价格库存数量
50 μL
¥ 1,490
5日内发货
100 μL
¥ 2,480
5日内发货
库存状态实时更新,以官网显示为准,现货产品可直接加购物车下单
大包装 & 定制
加入购物车

TargetMol的所有产品仅用作科学研究或药证申报,不能被用于人体,我们不向个人提供产品和服务。请您遵守承诺用途,不得违反法律法规规定用于任何其他用途。

实验操作小课堂
常见问题解答
查看更多

资源下载:产品操作手册

产品介绍


生物活性
产品描述
Anti-YY1 Antibody (5H894) is a Rabbit antibody targeting YY1. Anti-YY1 Antibody (5H894) can be used in ICC/IF,IHC,IP,WB.
别名
δ transcription factor, Yin and yang 1, Transcriptional repressor protein YY1, NF-E1, INO80S, INO80 complex subunit S, Delta transcription factor
Ig Type
IgG
克隆号
5H894
反应种属
Human,Mouse,Rat
验证活性
1. Western blot analysis of YY1 on different lysates using anti-YY1 antibody at 1/1,000 dilution. Positive control: Lane 1: Hela, Lane 2: Jurkat, Lane 3: HL-60.
2. Immunohistochemical analysis of paraffin-embedded human tonsil tissue using anti-YY1 antibody. Counter stained with hematoxylin.
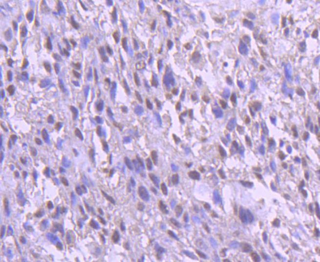
3. Immunohistochemical analysis of paraffin-embedded human breast carcinoma tissue using anti-YY1 antibody. Counter stained with hematoxylin.
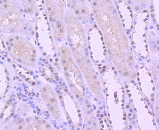
4. Immunohistochemical analysis of paraffin-embedded human kidney tissue using anti-YY1 antibody. Counter stained with hematoxylin.
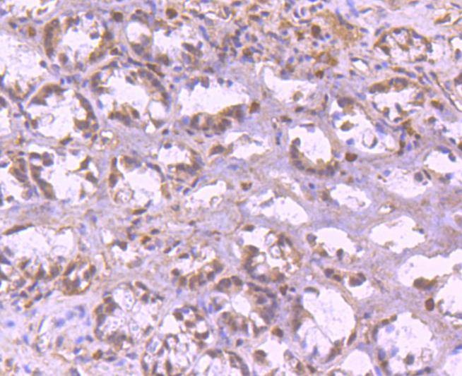
5. Immunohistochemical analysis of paraffin-embedded mouse colon tissue using anti-YY1 antibody. Counter stained with hematoxylin.
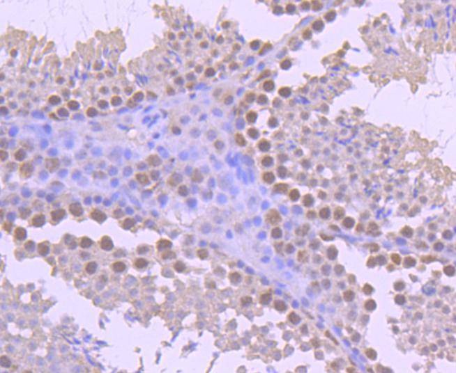
6. Immunohistochemical analysis of paraffin-embedded mouse testis tissue using anti-YY1 antibody. Counter stained with hematoxylin.
verifiedActivityverifiedActivityverifiedActivityverifiedActivityverifiedActivityverifiedActivity
应用ICC/IFIHCIPWB
推荐剂量
WB: 1:1000-2000; IHC: 1:50-200; ICC/IF: 1:50-200
抗体种类
Monoclonal
宿主来源Rabbit
构建方式Recombinant Antibody
纯化方式ProA affinity purified
性状Liquid
缓冲液1*TBS (pH7.4), 1%BSA, 40%Glycerol. Preservative: 0.05% Sodium Azide.
研究背景The YY1 transcription factor, also known as NF-E1 (human) and Delta or UCRBP (mouse) is of interest due to its diverse effects on a wide variety of target genes. YY1 is broadly expressed in a wide range of cell types and contains four C-terminal zinc finger motifs of the Cys-Cys-His-His type and an unusual set of structural motifs at its N-terminal. It binds to downstream elements in several vertebrate ribosomal protein genes, where it apparently acts positively to stimulate transcription and can act either negatively or positively in the context of the immunoglobulin k 3' enhancer and immunoglobulin heavy-chain μE1 site as well as the P5 promoter of the adeno-associated virus. It thus appears that YY1 is a bifunctional protein, capable of functioning as an activator in some transcriptional control elements and a repressor in others.
偶联与修饰
偶联
Unconjugated
抗原信息
免疫原
Recombinant Protein
Uniprot ID
化学信息
分子量Theoretical: 68 kDa.
储存&溶解度
储存方式Store at -20°C or -80°C for 12 months. Avoid repeated freeze-thaw cycles.
运输方式Shipping with blue ice.

计算器

  • 稀释 计算器
  • 配液 计算器
Related Tags: buy Anti-YY1 Antibody (5H894) | purchase Anti-YY1 Antibody (5H894) | Anti-YY1 Antibody (5H894) cost | order Anti-YY1 Antibody (5H894) | Anti-YY1 Antibody (5H894) molecular weight