购物车
  • 全部删除
  • TargetMol
    您的购物车当前为空

Anti-PLAU/uPA Antibody (8V289)

一键复制产品信息
Rating icon 还可以
产品编号 TMAC-04199
别名 Urokinase, URK, u-PA, UPA, QPD, PLAU, BDPLT5, ATF

Anti-PLAU/uPA Antibody (8V289) 是一种 Rabbit 抗体,靶向 PLAU/uPA。Anti-PLAU/uPA Antibody (8V289) 可用于 IHC,WB。

Anti-PLAU/uPA Antibody (8V289)

Anti-PLAU/uPA Antibody (8V289)

一键复制产品信息
Rating icon 还可以
产品编号 TMAC-04199 别名 Urokinase, URK, u-PA, UPA, QPD, PLAU, BDPLT5, ATF

Anti-PLAU/uPA Antibody (8V289) 是一种 Rabbit 抗体,靶向 PLAU/uPA。Anti-PLAU/uPA Antibody (8V289) 可用于 IHC,WB。

规格价格库存数量
50 μL
¥ 1,480
5日内发货
100 μL
¥ 2,495
5日内发货
大包装 & 定制
加入购物车
TargetMol 的所有产品仅用作科学研究或药证申报,不能被用于人体,我们不向个人提供产品和服务。请您遵守承诺用途,不得违反法律法规规定用于任何其他用途。
实验操作小课堂
常见问题解答
查看更多
联系我们获取更多批次信息
资源下载

产品介绍

生物活性
产品描述
Anti-PLAU/uPA Antibody (8V289) is a Rabbit antibody targeting PLAU/uPA. Anti-PLAU/uPA Antibody (8V289) can be used in IHC,WB.
别名Urokinase, URK, u-PA, UPA, QPD, PLAU, BDPLT5, ATF
Ig Type
IgG
克隆号
8V289
交叉反应
Human,Mouse,Rat
验证活性
1. Western blot analysis of Urokinase on MCF-7 cells lysates using anti-Urokinase antibody at 1/500 dilution.
2. Immunohistochemical analysis of paraffin-embedded human liver carcinoma tissue using anti-Urokinase antibody. Counter stained with hematoxylin.
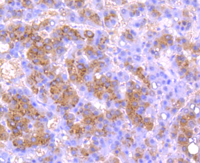
3. Immunohistochemical analysis of paraffin-embedded human colon carcinoma tissue using anti-Urokinase antibody. Counter stained with hematoxylin.
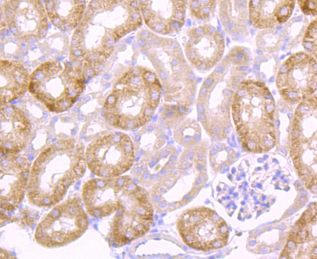
4. Immunohistochemical analysis of paraffin-embedded human kidney tissue using anti-Urokinase antibody. Counter stained with hematoxylin.
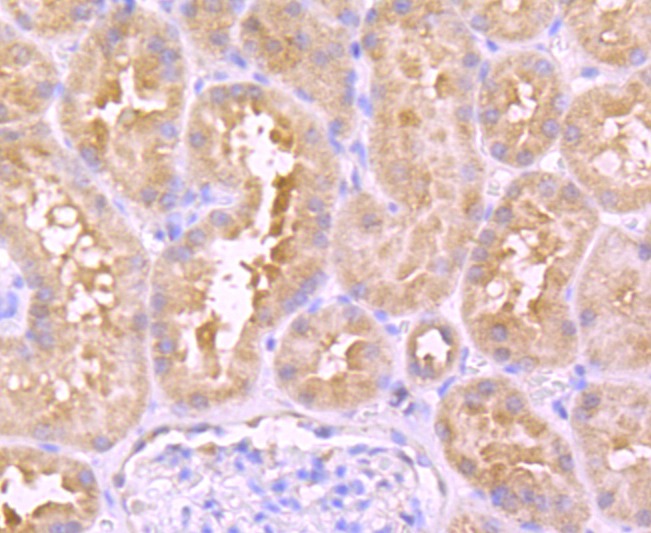
5. Immunohistochemical analysis of paraffin-embedded mouse kidney tissue using anti-Urokinase antibody. Counter stained with hematoxylin.
verifiedActivityverifiedActivityverifiedActivityverifiedActivityverifiedActivity
应用IHCWB
推荐剂量
WB: 1:1000-5000; IHC: 1:50-200
抗体种类
Monoclonal
宿主来源Rabbit
构建方式Recombinant Antibody
纯化方式ProA affinity purified
性状Liquid
缓冲液1*TBS (pH7.4), 1%BSA, 40%Glycerol. Preservative: 0.05% Sodium Azide.
研究背景Urokinase plasminogen activator receptor (uPAR), also designated CD87, is a glycoprotein I-anchored surface receptor specific for urokinase plasminogen activator (uPA). Upon binding to uPAR, uPA converts the surface bound, large serum b-globulin, plasminogen to plasmin. Plasmin, which is also designated fibrinolysin, is a Trypsin- like enzyme that acts on Arg-Lys bonds and induces pericellular proteolysis in fibrin and fibrinogen, and thereby contributes to the systematic activation of the coagulation cascade. This pathway is observed during re-epithelialization of lesions, wound healing and tissue remodeling. uPA and uPAR are known to be overexpressed in mesenchymal and epithelial origin tumor cells and are required for tumor invasion and metastasis. Ras, MEK, ERK and MLCK function as downstream effectors in the uPAR-dependent signaling cascade, which is initiated by uPA binding, and promotes cellular migration in an integrin selective manner.
偶联与修饰
偶联
Unconjugated
抗原信息
免疫原
Recombinant Protein
Uniprot ID
化学信息
分子量Theoretical: 49 kDa.
存储&运输
储存方式Store at -20°C or -80°C for 12 months. Avoid repeated freeze-thaw cycles.
运输方式Shipping with blue ice.

计算器

  • 稀释 计算器

关键词

评论列表

4个月前
5.0
Rating icon 很棒

评论内容

Related Tags: buy Anti-PLAU/uPA Antibody (8V289) | purchase Anti-PLAU/uPA Antibody (8V289) | Anti-PLAU/uPA Antibody (8V289) cost | order Anti-PLAU/uPA Antibody (8V289) | Anti-PLAU/uPA Antibody (8V289) molecular weight