购物车
  • 全部删除
  • TargetMol
    您的购物车当前为空

Anti-Phospho-SMC1A (Ser957) Antibody (1H28)

一键复制产品信息
Rating icon 还可以
产品编号 TMAC-03271
别名 SMC1A (p-Ser957), SMC1A (p-S957), p-SMC1A (Ser957), p-SMC1A (S957)

Anti-Phospho-SMC1A (Ser957) Antibody (1H28) 是一种 Rabbit 抗体,靶向 Phospho-SMC1A (Ser957)。Anti-Phospho-SMC1A (Ser957) Antibody (1H28) 可用于 WB,IHC,ICC。

Anti-Phospho-SMC1A (Ser957) Antibody (1H28)

Anti-Phospho-SMC1A (Ser957) Antibody (1H28)

一键复制产品信息
Rating icon 还可以
产品编号 TMAC-03271 别名 SMC1A (p-Ser957), SMC1A (p-S957), p-SMC1A (Ser957), p-SMC1A (S957)

Anti-Phospho-SMC1A (Ser957) Antibody (1H28) 是一种 Rabbit 抗体,靶向 Phospho-SMC1A (Ser957)。Anti-Phospho-SMC1A (Ser957) Antibody (1H28) 可用于 WB,IHC,ICC。

规格价格库存数量
50 μL
¥ 1,495
5日内发货
100 μL
¥ 2,490
5日内发货
大包装 & 定制
加入购物车
TargetMol 的所有产品仅用作科学研究或药证申报,不能被用于人体,我们不向个人提供产品和服务。请您遵守承诺用途,不得违反法律法规规定用于任何其他用途。
实验操作小课堂
常见问题解答
查看更多
联系我们获取更多批次信息
资源下载

产品介绍

生物活性
产品描述
Anti-Phospho-SMC1A (Ser957) Antibody (1H28) is a Rabbit antibody targeting Phospho-SMC1A (Ser957). Anti-Phospho-SMC1A (Ser957) Antibody (1H28) can be used in ICC,IHC,WB.
别名SMC1A (p-Ser957), SMC1A (p-S957), p-SMC1A (Ser957), p-SMC1A (S957)
Ig Type
IgG
克隆号
1H28
交叉反应
Human
验证活性
1. Western blot analysis of SMC1 (phospho S957) on Hela cells lysates using anti-phospho-SMC1 (S957) antibody at 1/1,000 dilution.
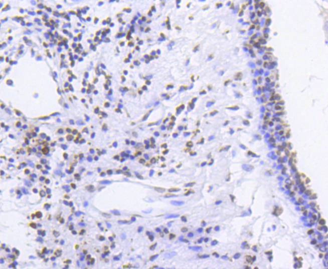
2. Immunohistochemical analysis of paraffin-embedded human tonsil tissue using anti-phospho-SMC1 (S957) antibody. Counter stained with hematoxylin.
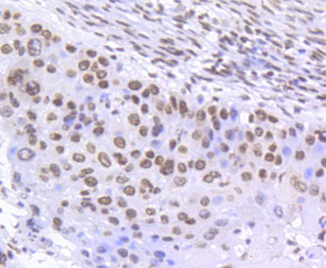
3. Immunohistochemical analysis of paraffin-embedded human lung cancer tissue using anti-phospho-SMC1 (S957) antibody. Counter stained with hematoxylin.
4. Immunohistochemical analysis of paraffin-embedded human breast carcinoma tissue using anti-phospho-SMC1 (S957) antibody. Counter stained with hematoxylin.
verifiedActivityverifiedActivityverifiedActivityverifiedActivity
应用ICCIHCWB
推荐剂量
WB: 1:1000-5000; IHC: 1:50-200; ICC: 1:50-200
抗体种类
Monoclonal
宿主来源Rabbit
构建方式Hybridoma Monoclonal Antibody
纯化方式ProA affinity purified
性状Liquid
缓冲液1*TBS (pH7.4), 1%BSA, 40%Glycerol. Preservative: 0.05% Sodium Azide.
研究背景The SMC (structural maintenance of chromosomes) family of proteins form heterodimeric complexes that modulate sister chromatid cohesion and chromosome condensation for mitosis. The two distinct classes of SMC protein complexes are comprised of SMC1 (also designated SB1.8) with SMC3 (also designated HCAP for human chromosome-associated protein and Bamacan for the secreted proteoglycan), and SMC2 (also designated hCAP-E) with SMC4 (also designated hCAP-C). The SMC1/SMC3 complex is required for metaphase progression in mitotic cells and functions independently of the SMC2/SMC4 complex during the cell cycle. SMC1 is ubiqitiously expressed in various human tissues, including thymus, testis and colon. SMC3 is expressed as a nuclear protein in the colon, but can also occur as a secreted proteoglycan expressed in testis and brain. The secreted proteoglycan contains several glycosylation sites and is thought to play a role in basement membrane physiology.
偶联与修饰
偶联
Unconjugated
其他可选修饰符
Phospho
抗原信息
免疫原
A synthesized phosphopeptide: human SMC1 around the phosphorylation site of Ser957
抗原种属
human
Uniprot ID
化学信息
分子量Theoretical: 160 kDa.
存储&运输
储存方式Store at -20°C or -80°C for 12 months. Avoid repeated freeze-thaw cycles.
运输方式Shipping with blue ice.

计算器

  • 稀释 计算器

关键词

评论列表

4个月前
5.0
Rating icon 很棒

评论内容

Related Tags: buy Anti-Phospho-SMC1A (Ser957) Antibody (1H28) | purchase Anti-Phospho-SMC1A (Ser957) Antibody (1H28) | Anti-Phospho-SMC1A (Ser957) Antibody (1H28) cost | order Anti-Phospho-SMC1A (Ser957) Antibody (1H28) | Anti-Phospho-SMC1A (Ser957) Antibody (1H28) molecular weight