购物车
  • TargetMol
    您的购物车当前为空

Anti-Phospho-PKC beta (Thr641) Polyclonal Antibody

Synonyms: p-PKC beta (Thr641), p-PKC beta (T641), PKC beta (p-Thr641), PKC beta (p-T641)
货号 TMAC-03329 一键复制产品信息
Rating icon 还可以

Anti-Phospho-PKC beta (Thr641) Polyclonal Antibody 是一种 Rabbit 抗体,靶向 Phospho-PKC beta (Thr641)。Anti-Phospho-PKC beta (Thr641) Polyclonal Antibody 可用于 IF,IHC,WB。

Anti-Phospho-PKC beta (Thr641) Polyclonal Antibody

一键复制产品信息
Rating icon 还可以
货号 TMAC-03329

别名 p-PKC beta (Thr641), p-PKC beta (T641), PKC beta (p-Thr641), PKC beta (p-T641)

Anti-Phospho-PKC beta (Thr641) Polyclonal Antibody 是一种 Rabbit 抗体,靶向 Phospho-PKC beta (Thr641)。Anti-Phospho-PKC beta (Thr641) Polyclonal Antibody 可用于 IF,IHC,WB。

Anti-Phospho-PKC beta (Thr641) Polyclonal Antibody
规格价格库存数量
50 μL
¥ 1,490
5日内发货
100 μL
¥ 2,230
5日内发货
库存状态实时更新,以官网显示为准,现货产品可直接加购物车下单
大包装 & 定制
加入购物车

TargetMol的所有产品仅用作科学研究或药证申报,不能被用于人体,我们不向个人提供产品和服务。请您遵守承诺用途,不得违反法律法规规定用于任何其他用途。

实验操作小课堂
常见问题解答
查看更多

资源下载:产品操作手册

产品介绍


生物活性
产品描述
Anti-Phospho-PKC beta (Thr641) Polyclonal Antibody is a Rabbit antibody targeting Phospho-PKC beta (Thr641). Anti-Phospho-PKC beta (Thr641) Polyclonal Antibody can be used in IF,IHC,WB.
别名
p-PKC beta (Thr641), p-PKC beta (T641), PKC beta (p-Thr641), PKC beta (p-T641)
Ig Type
IgG
反应种属
Human,Mouse,Rat
验证活性
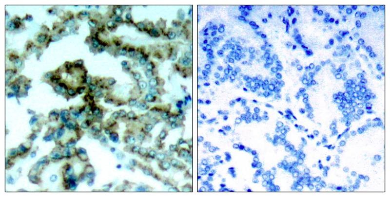
1. Immunohistochemical analysis of paraffin-embedded human lung carcinoma tissue, using PKCb (phospho-Thr641) antibody (TMAC-03329).
2. Immunofluorescence staining of methanol-fixed MCF7 cells using PKCb (phospho-Thr641) antibody (TMAC-03329, Red).
3. Western blot analysis of extracts from JK cells untreated or treated with PMA using PKCβ (phospho-Thr641) antibody TMAC-03329.
verifiedActivityverifiedActivityverifiedActivity
应用IFIHCWB
抗体种类
Polyclonal
宿主来源Rabbit
构建方式Polyclonal Antibody
纯化方式Antibodies were produced by immunizing rabbits with synthetic peptide and KLH conjugates. Antibodies were purified by affinity-chromatography using epitope-specific peptide.
性状Liquid
缓冲液Supplied at 1.0mg/mL in phosphate buffered saline (without Mg2+ and Ca2+), pH 7.4, 150mM NaCl, 0.02% sodium azide and 50% glycerol.
研究背景Calcium-activated and phospholipid-dependent serine/threonine-protein kinase involved in various processes such as regulation of the B-cell receptor (BCR) signalosome, apoptosis and transcription regulation. Plays a key role in B-cell activation and function by regulating BCR-induced NF-kappa-B activation and B-cell suvival. Required for recruitment and activation of the IKK kinase to lipid rafts and mediates phosphorylation of CARD11/CARMA1 at 'Ser-559', 'Ser-644' and 'Ser-652', leading to activate the NF-kappa-B signaling. Involved in apoptosis following oxidative damage: in case of oxidative conditions, specifically phosphorylates 'Ser-36' of isoform p66Shc of SHC1, leading to mitochondrial accumulation of p66Shc, where p66Shc acts as a reactive oxygen species producer. Acts as a coactivator of androgen receptor (ANDR)-dependent transcription, by being recruited to ANDR target genes and specifically mediating phosphorylation of 'Thr-6' of histone H3 (H3T6ph), a specific tag for epigenetic transcriptional activation that prevents demethylation of histone H3 'Lys-4' (H3K4me) by LSD1/KDM1A. Also involved in triglyceride homeostasis. Serves as the receptor for phorbol esters, a class of tumor promoters.
偶联与修饰
偶联
Unconjugated
其他可选修饰符
Phospho
抗原信息
免疫原
Peptide sequence around phosphorylation site of threonine 641 (E-L-T(p)-P-T) derived from Human PKCb
抗原种属
human
Uniprot ID
储存&溶解度
储存方式Store at 2°C-8°C for 1 month. Store at -20°C or -80°C for 12 months. Avoid repeated freeze-thaw cycles.
运输方式Shipping with blue ice.

计算器

  • 稀释 计算器
  • 配液 计算器
Related Tags: buy Anti-Phospho-PKC beta (Thr641) Polyclonal Antibody | purchase Anti-Phospho-PKC beta (Thr641) Polyclonal Antibody | Anti-Phospho-PKC beta (Thr641) Polyclonal Antibody cost | order Anti-Phospho-PKC beta (Thr641) Polyclonal Antibody