购物车
  • 全部删除
  • TargetMol
    您的购物车当前为空

Anti-Phospho-p53 (Ser392) Antibody (2F452)

一键复制产品信息
Rating icon 还可以
产品编号 TMAC-03244
别名 p-p53 (Ser392), p-p53 (S392), p53 (p-Ser392), p53 (p-S392)

Anti-Phospho-p53 (Ser392) Antibody (2F452) 是一种 Rabbit 抗体,靶向 Phospho-p53 (Ser392)。Anti-Phospho-p53 (Ser392) Antibody (2F452) 可用于 WB,IHC,IP,IF。

Anti-Phospho-p53 (Ser392) Antibody (2F452)

Anti-Phospho-p53 (Ser392) Antibody (2F452)

一键复制产品信息
Rating icon 还可以
产品编号 TMAC-03244 别名 p-p53 (Ser392), p-p53 (S392), p53 (p-Ser392), p53 (p-S392)

Anti-Phospho-p53 (Ser392) Antibody (2F452) 是一种 Rabbit 抗体,靶向 Phospho-p53 (Ser392)。Anti-Phospho-p53 (Ser392) Antibody (2F452) 可用于 WB,IHC,IP,IF。

规格价格库存数量
50 μL
¥ 1,495
5日内发货
100 μL
¥ 2,485
5日内发货
大包装 & 定制
加入购物车
TargetMol 的所有产品仅用作科学研究或药证申报,不能被用于人体,我们不向个人提供产品和服务。请您遵守承诺用途,不得违反法律法规规定用于任何其他用途。
实验操作小课堂
常见问题解答
查看更多
联系我们获取更多批次信息
资源下载

产品介绍

生物活性
产品描述
Anti-Phospho-p53 (Ser392) Antibody (2F452) is a Rabbit antibody targeting Phospho-p53 (Ser392). Anti-Phospho-p53 (Ser392) Antibody (2F452) can be used in IF,IHC,IP,WB.
别名p-p53 (Ser392), p-p53 (S392), p53 (p-Ser392), p53 (p-S392)
Ig Type
IgG
克隆号
2F452
交叉反应
Human,Mouse,Rat
验证活性
1. Western blot analysis of Phospho-p53 (S392) on different lysates using anti-Phospho-p53 (S392) antibody at 1/1,000 dilution. Positive control: Lane 1: 293, Lane 2: F9.
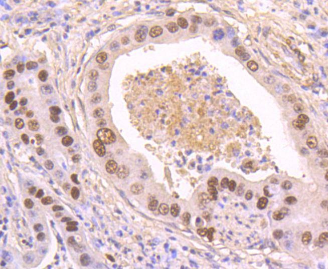
2. Immunohistochemical analysis of paraffin-embedded human gastric carcinoma tissue using anti-Phospho-p53 (S392) antibody. Counter stained with hematoxylin.
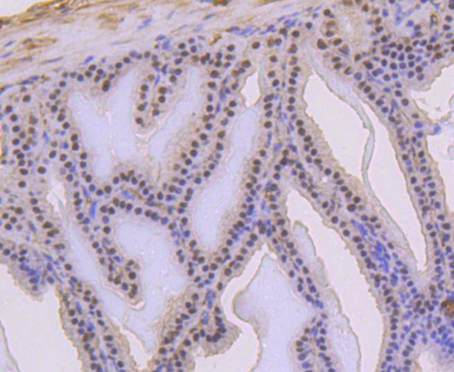
3. Immunohistochemical analysis of paraffin-embedded mouse prostate tissue using anti-Phospho-p53 (S392) antibody. Counter stained with hematoxylin.
verifiedActivityverifiedActivityverifiedActivity
应用IFIHCIPWB
推荐剂量
WB: 1:1000-5000; IHC: 1:50-200
抗体种类
Monoclonal
宿主来源Rabbit
构建方式Recombinant Antibody
纯化方式ProA affinity purified
性状Liquid
缓冲液1*TBS (pH7.4), 1%BSA, 40%Glycerol. Preservative: 0.05% Sodium Azide.
研究背景p53 is a DNA-binding, oligomerization domain- and transcription activation domain-containing tumor suppressor that upregulates growth arrest and apoptosis-related genes in response to stress signals, thereby influencing programmed cell death, cell differentiation and cell cycle control mechanisms. p53 localizes to the nucleus yet can be chaperoned to the cytoplasm by the negative regulator MDM2, an E3 ubiquitin ligase that is upregulated in the presence of active p53, where MDM2 polyubiquitinates p53 for proteasome targeting. p53 can assemble into tetramers in the absence of DNA, fluctuates between latent and active (DNA-binding) conformations, and is differentially activated through posttranslational modifications including phosphorylation and acetylation. Mutations in the DNA-binding domain (DBD) (amino acids 110-286) of p53 can compromise energetically favorable association with cis elements and are implicated in several human cancers. Phosphorylation of p53 at residue Thr 155 is mediated by the COP9 signalosome (CSN) and targets p53 to ubiquitin-26S Proteasome-dependent degradation.
偶联与修饰
偶联
Unconjugated
其他可选修饰符
Phospho
抗原信息
免疫原
A synthesized phosphopeptide: human p53 around the phosphorylation site of Ser392
抗原种属
human
Uniprot ID
化学信息
分子量Theoretical: 53 kDa.
存储&运输
储存方式Store at -20°C or -80°C for 12 months. Avoid repeated freeze-thaw cycles.
运输方式Shipping with blue ice.

计算器

  • 稀释 计算器

关键词

评论列表

4个月前
5.0
Rating icon 很棒

评论内容

Related Tags: buy Anti-Phospho-p53 (Ser392) Antibody (2F452) | purchase Anti-Phospho-p53 (Ser392) Antibody (2F452) | Anti-Phospho-p53 (Ser392) Antibody (2F452) cost | order Anti-Phospho-p53 (Ser392) Antibody (2F452) | Anti-Phospho-p53 (Ser392) Antibody (2F452) molecular weight