购物车
  • TargetMol
    您的购物车当前为空

Anti-Phospho-IGF1R/CD221 (Tyr1161) Polyclonal Antibody 2

Synonyms: p-IGF1R/CD221 (Y1161), p-IGF1R/CD221 (Tyr1161), IGF1R/CD221 (p-Y1161), IGF1R/CD221 (p-Tyr1161)
货号 TMAC-02094 一键复制产品信息
Rating icon 还可以

Anti-Phospho-IGF1R/CD221 (Tyr1161) Polyclonal Antibody 是一种 Rabbit 抗体,靶向 Phospho-IGF1R/CD221 (Tyr1161)。Anti-Phospho-IGF1R/CD221 (Tyr1161) Polyclonal Antibody 可用于 IF,IHC,WB。

Anti-Phospho-IGF1R/CD221 (Tyr1161) Polyclonal Antibody 2

一键复制产品信息
Rating icon 还可以
货号 TMAC-02094

别名 p-IGF1R/CD221 (Y1161), p-IGF1R/CD221 (Tyr1161), IGF1R/CD221 (p-Y1161), IGF1R/CD221 (p-Tyr1161)

Anti-Phospho-IGF1R/CD221 (Tyr1161) Polyclonal Antibody 是一种 Rabbit 抗体,靶向 Phospho-IGF1R/CD221 (Tyr1161)。Anti-Phospho-IGF1R/CD221 (Tyr1161) Polyclonal Antibody 可用于 IF,IHC,WB。

Anti-Phospho-IGF1R/CD221 (Tyr1161) Polyclonal Antibody 2
规格价格库存数量
50 μL
¥ 1,480
5日内发货
100 μL
¥ 2,230
5日内发货
库存状态实时更新,以官网显示为准,现货产品可直接加购物车下单
大包装 & 定制
加入购物车

TargetMol的所有产品仅用作科学研究或药证申报,不能被用于人体,我们不向个人提供产品和服务。请您遵守承诺用途,不得违反法律法规规定用于任何其他用途。

实验操作小课堂
常见问题解答
查看更多

资源下载:产品操作手册

产品介绍


生物活性
产品描述
Anti-Phospho-IGF1R/CD221 (Tyr1161) Polyclonal Antibody is a Rabbit antibody targeting Phospho-IGF1R/CD221 (Tyr1161). Anti-Phospho-IGF1R/CD221 (Tyr1161) Polyclonal Antibody can be used in IF,IHC,WB.
别名
p-IGF1R/CD221 (Y1161), p-IGF1R/CD221 (Tyr1161), IGF1R/CD221 (p-Y1161), IGF1R/CD221 (p-Tyr1161)
Ig Type
IgG
反应种属
Human,Mouse,Rat
验证活性
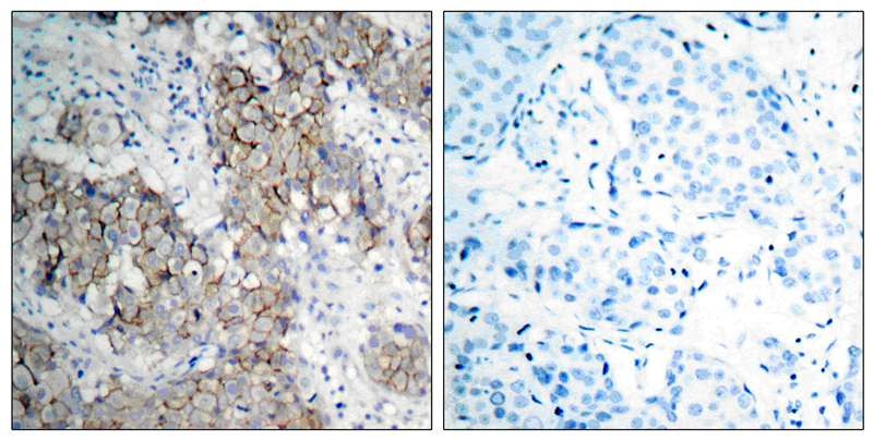
1. Immunohistochemical analysis of paraffin- embedded human breast carcinoma tissue using IGF-1R (phospho-Tyr1161) antibody (TMAC-02094).
2. Immunofluorescence staining of methanol-fixed MCF7 cells using IGF-1R (phospho-Tyr1161) antibody (TMAC-02094, Red).
3. Western blot analysis of IGF-1R(Phospho-Tyr1161) expression in 293,293T Insulin,293T PMA,MCF7 Insulin,HepG2 Insulin.
verifiedActivityverifiedActivityverifiedActivity
应用IFIHCWB
抗体种类
Polyclonal
宿主来源Rabbit
构建方式Polyclonal Antibody
纯化方式Antibodies were produced by immunizing rabbits with synthetic phosphopeptide and KLH conjugates. Antibodies were purified by affinity-chromatography using epitope-specific phosphopeptide. Non-phospho specific antibodies were removed by chromatogramphy using non-phosphopeptide.
性状Liquid
缓冲液Supplied at 1.0mg/mL in phosphate buffered saline (without Mg2+ and Ca2+), pH 7.4, 150mM NaCl, 0.02% sodium azide and 50% glycerol.
研究背景Receptor tyrosine kinase which mediates actions of insulin-like growth factor 1 (IGF1). Binds IGF1 with high affinity and IGF2 and insulin (INS) with a lower affinity. The activated IGF1R is involved in cell growth and survival control. IGF1R is crucial for tumor transformation and survival of malignant cell. Ligand binding activates the receptor kinase, leading to receptor autophosphorylation, and tyrosines phosphorylation of multiple substrates, that function as signaling adapter proteins including, the insulin-receptor substrates (IRS1/2), Shc and 14-3-3 proteins. Phosphorylation of IRSs proteins lead to the activation of two main signaling pathways: the PI3K-AKT/PKB pathway and the Ras-MAPK pathway. The result of activating the MAPK pathway is increased cellular proliferation, whereas activating the PI3K pathway inhibits apoptosis and stimulates protein synthesis. Phosphorylated IRS1 can activate the 85 kDa regulatory subunit of PI3K (PIK3R1), leading to activation of several downstream substrates, including protein AKT/PKB. AKT phosphorylation, in turn, enhances protein synthesis through mTOR activation and triggers the antiapoptotic effects of IGFIR through phosphorylation and inactivation of BAD. In parallel to PI3K-driven signaling, recruitment of Grb2/SOS by phosphorylated IRS1 or Shc leads to recruitment of Ras and activation of the ras-MAPK pathway. In addition to these two main signaling pathways IGF1R signals also through the Janus kinase/signal transducer and activator of transcription pathway (JAK/STAT). Phosphorylation of JAK proteins can lead to phosphorylation/activation of signal transducers and activators of transcription (STAT) proteins. In particular activation of STAT3, may be essential for the transforming activity of IGF1R. The JAK/STAT pathway activates gene transcription and may be responsible for the transforming activity. JNK kinases can also be activated by the IGF1R. IGF1 exerts inhibiting activities on JNK activation via phosphorylation and inhibition of MAP3K5/ASK1, which is able to directly associate with the IGF1R.When present in a hybrid receptor with INSR, binds IGF1.shows that hybrid receptors composed of IGF1R and INSR isoform Long are activated with a high affinity by IGF1, with low affinity by IGF2 and not significantly activated by insulin, and that hybrid receptors composed of IGF1R and INSR isoform Short are activated by IGF1, IGF2 and insulin. In contrast, shows that hybrid receptors composed of IGF1R and INSR isoform Long and hybrid receptors composed of IGF1R and INSR isoform Short have similar binding characteristics, both bind IGF1 and have a low affinity for insulin.
偶联与修饰
偶联
Unconjugated
其他可选修饰符
Phospho
抗原信息
免疫原
Peptide sequence around phosphorylation site of tyrosine 1161(D-I-Y(p)-E-T)derived from Human IGF-1R
抗原种属
human
Uniprot ID
储存&溶解度
储存方式Store at -20°C or -80°C for 12 months. Avoid repeated freeze-thaw cycles.
运输方式Shipping with blue ice.

计算器

  • 稀释 计算器
  • 配液 计算器
Related Tags: buy Anti-Phospho-IGF1R/CD221 (Tyr1161) Polyclonal Antibody 2 | purchase Anti-Phospho-IGF1R/CD221 (Tyr1161) Polyclonal Antibody 2 | Anti-Phospho-IGF1R/CD221 (Tyr1161) Polyclonal Antibody 2 cost | order Anti-Phospho-IGF1R/CD221 (Tyr1161) Polyclonal Antibody 2