购物车
  • TargetMol
    您的购物车当前为空

Anti-NOX4 Antibody (4J332)

Synonyms: RENOX, Renal NAD(P)H-oxidase, NOX4, NADPH oxidase 4, Kidney superoxide-producing NADPH oxidase, Kidney oxidase-1 (KOX-1)
货号 TMAC-02745 一键复制产品信息
Rating icon 还可以

Anti-NOX4 Antibody (4J332) 是一种 Rabbit 抗体,靶向 NOX4。Anti-NOX4 Antibody (4J332) 可用于 ICC,IHC,IP,WB。

Anti-NOX4 Antibody (4J332)

一键复制产品信息
Rating icon 还可以
货号 TMAC-02745

别名 RENOX, Renal NAD(P)H-oxidase, NOX4, NADPH oxidase 4, Kidney superoxide-producing NADPH oxidase, Kidney oxidase-1 (KOX-1)

Anti-NOX4 Antibody (4J332) 是一种 Rabbit 抗体,靶向 NOX4。Anti-NOX4 Antibody (4J332) 可用于 ICC,IHC,IP,WB。

Anti-NOX4 Antibody (4J332)
规格价格库存数量
50 μL
¥ 1,485
5日内发货
100 μL
¥ 2,495
5日内发货
库存状态实时更新,以官网显示为准,现货产品可直接加购物车下单
大包装 & 定制
加入购物车

TargetMol的所有产品仅用作科学研究或药证申报,不能被用于人体,我们不向个人提供产品和服务。请您遵守承诺用途,不得违反法律法规规定用于任何其他用途。

实验操作小课堂
常见问题解答
查看更多

资源下载:产品操作手册

产品介绍


生物活性
产品描述
Anti-NOX4 Antibody (4J332) is a Rabbit antibody targeting NOX4. Anti-NOX4 Antibody (4J332) can be used in ICC,IHC,IP,WB.
别名
RENOX, Renal NAD(P)H-oxidase, NOX4, NADPH oxidase 4, Kidney superoxide-producing NADPH oxidase, Kidney oxidase-1 (KOX-1)
Ig Type
IgG
克隆号
4J332
反应种属
Human,Mouse,Rat
验证活性
1. Western blot analysis of NOX4 on PC-12 cell lysates using anti-NOX4 antibody at 1/1,000 dilution.
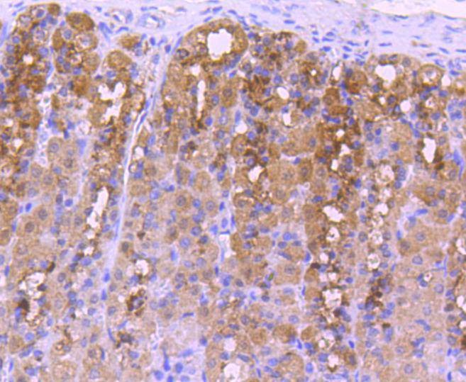
2. Immunohistochemical analysis of paraffin-embedded rat stomach tissue using anti-NOX4 antibody. Counter stained with hematoxylin.
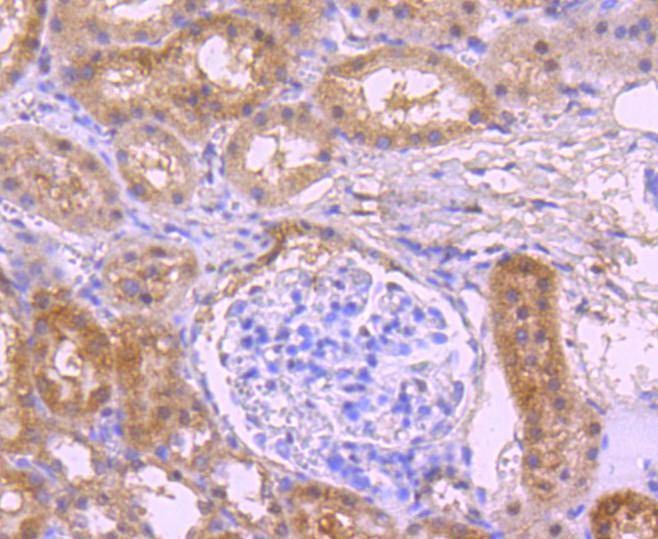
3. Immunohistochemical analysis of paraffin-embedded human kidney tissue using anti-NOX4 antibody. Counter stained with hematoxylin.
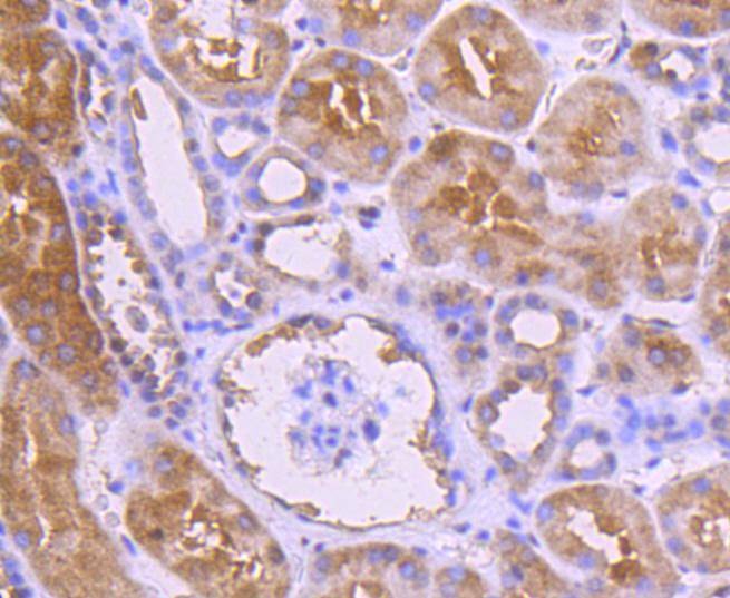
4. Immunohistochemical analysis of paraffin-embedded rat kidney tissue using anti-NOX4 antibody. Counter stained with hematoxylin.
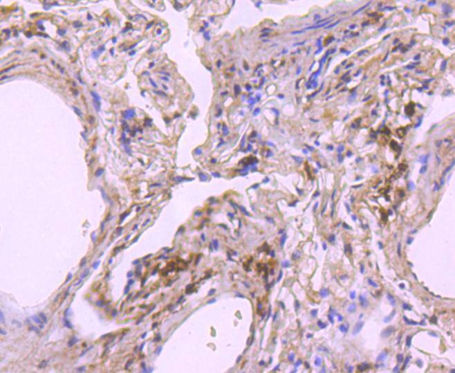
5. Immunohistochemical analysis of paraffin-embedded human lung tissue using anti-NOX4 antibody. Counter stained with hematoxylin.
6. ICC staining NOX4 in Hela cells (green). The nuclear counter stain is DAPI (blue). Cells were fixed in paraformaldehyde, permeabilised with 0.25% Triton X100/PBS.
7. ICC staining NOX4 in A431 cells (green). The nuclear counter stain is DAPI (blue). Cells were fixed in paraformaldehyde, permeabilised with 0.25% Triton X100/PBS.
8. ICC staining NOX4 in A549 cells (green). The nuclear counter stain is DAPI (blue). Cells were fixed in paraformaldehyde, permeabilised with 0.25% Triton X100/PBS.
verifiedActivityverifiedActivityverifiedActivityverifiedActivityverifiedActivityverifiedActivityverifiedActivityverifiedActivity
应用ICCIHCIPWB
推荐剂量
WB: 1:1000; IHC: 1:50-200; ICC: 1:50-100
抗体种类
Monoclonal
宿主来源Rabbit
构建方式Recombinant Antibody
纯化方式ProA affinity purified
性状Liquid
缓冲液1*TBS (pH7.4), 1%BSA, 40%Glycerol. Preservative: 0.05% Sodium Azide.
研究背景The superoxide-generating NADPH oxidase includes a membrane-bound flavocytochrome containing two subunits, gp91-phox and p22-phox, and the cytosolic proteins p47-phox and p67-phox. During activation of the NADPH oxidase, p47-phox and p67-phox migrate to the plasma membrane where they associate with the flavocytochrome, cytochrome b558, to form the active enzyme complex. The p22 and gp91-phox subunits also function as surface O2 sensors that initiate cellular signaling in response to hypoxic conditions. Nox4 (also known as Renox) is a renal gp91-phox homolog highly expressed at the site of erythropoietin production in the proximal convoluted tubule epithelial cells of the renal cortex. Nox4 is also expressed in fetal tissues, placenta, glioblastoma and vascular cells. Like gp91-phox, the enzymatic activity of Nox4 produces superoxide anions. In vascular cells, the addition of Angiotensin II increases Nox4 expression, which suggests a role for Nox4 in vascular oxidative stress response. The gene encoding human Nox4 maps to chromosome 11q14.2-q21.
偶联与修饰
偶联
Unconjugated
抗原信息
免疫原
Recombinant Protein
Uniprot ID
化学信息
分子量Theoretical: 67 kDa.
储存&溶解度
储存方式Store at -20°C or -80°C for 12 months. Avoid repeated freeze-thaw cycles.
运输方式Shipping with blue ice.

计算器

  • 稀释 计算器
  • 配液 计算器
Related Tags: buy Anti-NOX4 Antibody (4J332) | purchase Anti-NOX4 Antibody (4J332) | Anti-NOX4 Antibody (4J332) cost | order Anti-NOX4 Antibody (4J332) | Anti-NOX4 Antibody (4J332) molecular weight