购物车
  • 全部删除
  • TargetMol
    您的购物车当前为空

Anti-M-CSF/CSF1 Antibody (2H817)

一键复制产品信息
Rating icon 还可以
产品编号 TMAC-02501
别名 集落刺激因子

Anti-M-CSF/CSF1 Antibody (2H817) 是一种 Rabbit 抗体,靶向 M-CSF/CSF1。Anti-M-CSF/CSF1 Antibody (2H817) 可用于 ICC,IHC,IP,WB。

Anti-M-CSF/CSF1 Antibody (2H817)

Anti-M-CSF/CSF1 Antibody (2H817)

一键复制产品信息
Rating icon 还可以
产品编号 TMAC-02501 别名 集落刺激因子

Anti-M-CSF/CSF1 Antibody (2H817) 是一种 Rabbit 抗体,靶向 M-CSF/CSF1。Anti-M-CSF/CSF1 Antibody (2H817) 可用于 ICC,IHC,IP,WB。

规格价格库存数量
50 μL
¥ 1,490
5日内发货
100 μL
¥ 2,495
5日内发货
大包装 & 定制
加入购物车
TargetMol 的所有产品仅用作科学研究或药证申报,不能被用于人体,我们不向个人提供产品和服务。请您遵守承诺用途,不得违反法律法规规定用于任何其他用途。
实验操作小课堂
常见问题解答
查看更多
联系我们获取更多批次信息
资源下载

产品介绍

生物活性
产品描述
Anti-M-CSF/CSF1 Antibody (2H817) is a Rabbit antibody targeting M-CSF/CSF1. Anti-M-CSF/CSF1 Antibody (2H817) can be used in ICC,IHC,IP,WB.
别名集落刺激因子
Ig Type
IgG
克隆号
2H817
交叉反应
Human
验证活性
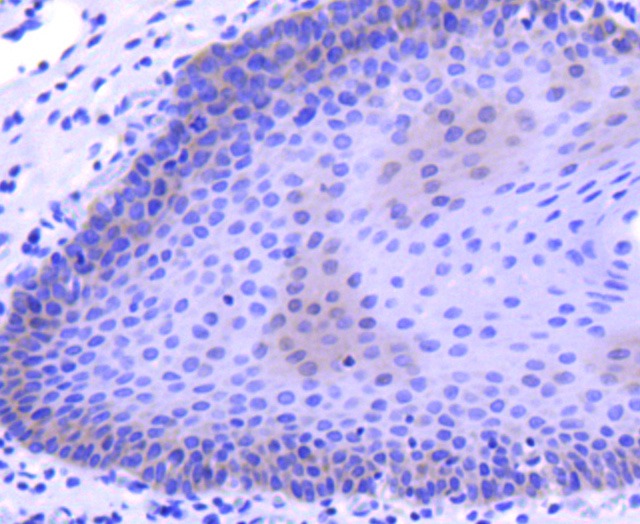
1. Immunohistochemical analysis of paraffin-embedded human tonsil tissue using anti-MCSF antibody. Counter stained with hematoxylin.
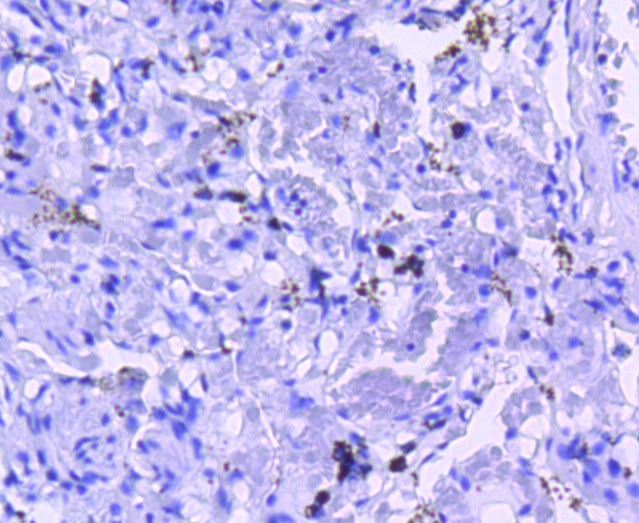
2. Immunohistochemical analysis of paraffin-embedded human lung tissue using anti-MCSF antibody. Counter stained with hematoxylin.
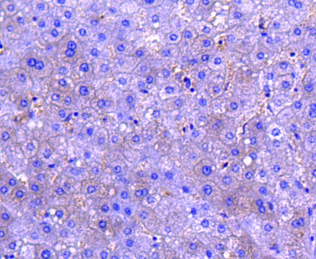
3. Immunohistochemical analysis of paraffin-embedded human liver tissue using anti-MCSF antibody. Counter stained with hematoxylin.
4. ICC staining MCSF in A431 cells (green). The nuclear counter stain is DAPI (blue). Cells were fixed in paraformaldehyde, permeabilised with 0.25% Triton X100/PBS.
5. ICC staining MCSF in HepG2 cells (green). The nuclear counter stain is DAPI (blue). Cells were fixed in paraformaldehyde, permeabilised with 0.25% Triton X100/PBS.
6. ICC staining MCSF in Hela cells (green). The nuclear counter stain is DAPI (blue). Cells were fixed in paraformaldehyde, permeabilised with 0.25% Triton X100/PBS.
verifiedActivityverifiedActivityverifiedActivityverifiedActivityverifiedActivityverifiedActivity
应用ICCIHCIPWB
推荐剂量
WB: 1:500-1000; IHC: 1:50-100; ICC: 1:50-200
抗体种类
Monoclonal
宿主来源Rabbit
构建方式Recombinant Antibody
纯化方式ProA affinity purified
性状Liquid
缓冲液1*TBS (pH7.4), 1%BSA, 40%Glycerol. Preservative: 0.05% Sodium Azide.
研究背景The macrophage colony-stimulating factor (M-CSF), also designated CSF-1, was originally discovered in serum, urine and other biological fluids as a factor that can stimulate the formation of macrophage colonies from bone marrow hematopoietic progenitor cells. M-CSF is a homodimeric cytokine that is produced by fibroblasts, epithelial cells, bone marrow stromal cells, osteoblasts, keratinocytes, macrophages, T cells and B cells. M-CSF is a glycoprotein required for the proliferation and differentiation of mononuclear phagocytes, including osteoclasts. M-CSF has also been identified as an important mediator of the inflammatory response and can regulate the release of proinflammatory cytokines from macrophages. M-CSF exerts its pleiotropic effects by binding to a single type of high affinity cell surface receptor that is encoded by the c-Fms proto-oncogene.
偶联与修饰
偶联
Unconjugated
抗原信息
免疫原
Recombinant Protein
Uniprot ID
化学信息
分子量Theoretical: 60 kDa.
存储&运输
储存方式Store at -20°C or -80°C for 12 months. Avoid repeated freeze-thaw cycles.
运输方式Shipping with blue ice.

计算器

  • 稀释 计算器

评论列表

4个月前
5.0
Rating icon 很棒

评论内容

Related Tags: buy Anti-M-CSF/CSF1 Antibody (2H817) | purchase Anti-M-CSF/CSF1 Antibody (2H817) | Anti-M-CSF/CSF1 Antibody (2H817) cost | order Anti-M-CSF/CSF1 Antibody (2H817) | Anti-M-CSF/CSF1 Antibody (2H817) molecular weight