购物车
  • 全部删除
  • TargetMol
    您的购物车当前为空

Anti-ITGB1 Antibody (1I859)

一键复制产品信息
Rating icon 还可以
产品编号 TMAC-02180
别名 VLA-β, VLA-BETA, VLAB, MSK12, MDF2, integrin, β1 (fibronectin receptor, βpolypeptide, antigen CD29 includes MDF2, MSK12), integrin, beta 1 (fibronectin receptor, beta polypeptide, antigen CD29 includes MDF2, MSK12), Integrin β1, GPIIA, FNRB, CD29

Anti-ITGB1 Antibody (1I859) 是一种 Rabbit 抗体,靶向 ITGB1。Anti-ITGB1 Antibody (1I859) 可用于 IHC,WB。

Anti-ITGB1 Antibody (1I859)

Anti-ITGB1 Antibody (1I859)

一键复制产品信息
Rating icon 还可以
产品编号 TMAC-02180 别名 VLA-β, VLA-BETA, VLAB, MSK12, MDF2, integrin, β1 (fibronectin receptor, βpolypeptide, antigen CD29 includes MDF2, MSK12), integrin, beta 1 (fibronectin receptor, beta polypeptide, antigen CD29 includes MDF2, MSK12), Integrin β1, GPIIA, FNRB, CD29

Anti-ITGB1 Antibody (1I859) 是一种 Rabbit 抗体,靶向 ITGB1。Anti-ITGB1 Antibody (1I859) 可用于 IHC,WB。

规格价格库存数量
50 μL
¥ 1,485
5日内发货
100 μL
¥ 2,490
5日内发货
大包装 & 定制
加入购物车
TargetMol 的所有产品仅用作科学研究或药证申报,不能被用于人体,我们不向个人提供产品和服务。请您遵守承诺用途,不得违反法律法规规定用于任何其他用途。
实验操作小课堂
常见问题解答
查看更多
联系我们获取更多批次信息
资源下载

产品介绍

生物活性
产品描述
Anti-ITGB1 Antibody (1I859) is a Rabbit antibody targeting ITGB1. Anti-ITGB1 Antibody (1I859) can be used in IHC,WB.
别名VLA-β, VLA-BETA, VLAB, MSK12, MDF2, integrin, β1 (fibronectin receptor, βpolypeptide, antigen CD29 includes MDF2, MSK12), integrin, beta 1 (fibronectin receptor, beta polypeptide, antigen CD29 includes MDF2, MSK12), Integrin β1, GPIIA, FNRB, CD29
Ig Type
IgG
克隆号
1I859
交叉反应
Human,Mouse,Rat,zebrafish
验证活性
1. Western blot analysis of Integrin beta 1 on different cell lysates using anti-Integrin beta 1 antibody at 1/1,000 dilution. Positive control: Lane 1: Hela, Lane 2: NIH/3T3.
2. Immunohistochemical analysis of paraffin-embedded human liver cancer tissue using anti-Integrin beta 1 antibody. Counter stained with hematoxylin.
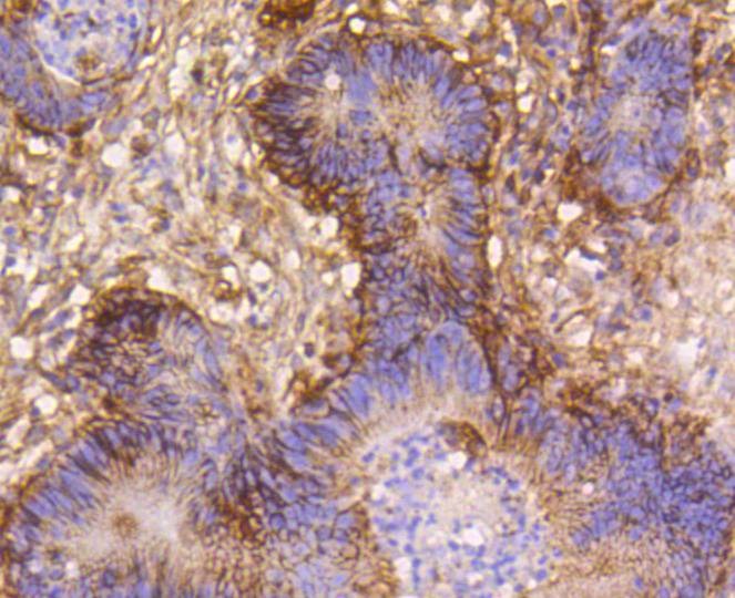
3. Immunohistochemical analysis of paraffin-embedded human colon cancer tissue using anti-Integrin beta 1 antibody. Counter stained with hematoxylin.
4. Immunohistochemical analysis of paraffin-embedded mouse stomach tissue using anti-Integrin beta 1 antibody. Counter stained with hematoxylin.
verifiedActivityverifiedActivityverifiedActivityverifiedActivity
应用IHCWB
推荐剂量
WB: 1:1000-5000; IHC: 1:50-200
抗体种类
Monoclonal
宿主来源Rabbit
构建方式Recombinant Antibody
纯化方式ProA affinity purified
性状Liquid
缓冲液1*TBS (pH7.4), 1%BSA, 40%Glycerol. Preservative: 0.05% Sodium Azide.
研究背景Integrins are transmembrane receptors that mediate the attachment between a cell and its surroundings, such as other cells or the extracellular matrix (ECM). Integrins are obligate heterodimers containing two distinct chains, called the α (alpha) and β (beta) subunits. The molecular mass of the integrin subunits can vary from 90 kDa to 160 kDa. Beta subunits have four cysteine-rich repeated sequences. Both α and β subunits bind several divalent cations. Integrins have two main functions: Attachment of the cell to the ECM and signal transduction from the ECM to the cell. However, they are also involved in a wide range of other biological activities, including immune patrolling, cell migration, and binding to cells by certain viruses, such as adenovirus, echovirus, hantavirus, and foot and mouth disease viruses. Research studies have implicated β1 integrin in various activities including embryonic development, blood vessel, skin, bone, and muscle formation, as well as tumor metastasis and angiogenesis.
偶联与修饰
偶联
Unconjugated
抗原信息
免疫原
Recombinant Protein
Uniprot ID
化学信息
分子量Theoretical: 140 kDa.
存储&运输
储存方式Store at -20°C or -80°C for 12 months. Avoid repeated freeze-thaw cycles.
运输方式Shipping with blue ice.

计算器

  • 稀释 计算器

关键词

评论列表

4个月前
5.0
Rating icon 很棒

评论内容

Related Tags: buy Anti-ITGB1 Antibody (1I859) | purchase Anti-ITGB1 Antibody (1I859) | Anti-ITGB1 Antibody (1I859) cost | order Anti-ITGB1 Antibody (1I859) | Anti-ITGB1 Antibody (1I859) molecular weight