购物车
  • 全部删除
  • TargetMol
    您的购物车当前为空

Anti-HSPB8 Antibody (1K143)

一键复制产品信息
Rating icon 还可以
产品编号 TMAC-02036
别名 α-crystallin C chain, Small stress protein-like protein HSP22, Protein kinase H11, HspB8, HSP22, Heat shock protein β-8, Heat shock protein beta-8, E2-induced gene 1 protein, E2IG1, CRYAC, Alpha-crystallin C chain

Anti-HSPB8 Antibody (1K143) 是一种 Rabbit 抗体,靶向 HSPB8。Anti-HSPB8 Antibody (1K143) 可用于 ICC/IF,IHC,WB。

Anti-HSPB8 Antibody (1K143)

Anti-HSPB8 Antibody (1K143)

一键复制产品信息
Rating icon 还可以
产品编号 TMAC-02036 别名 α-crystallin C chain, Small stress protein-like protein HSP22, Protein kinase H11, HspB8, HSP22, Heat shock protein β-8, Heat shock protein beta-8, E2-induced gene 1 protein, E2IG1, CRYAC, Alpha-crystallin C chain

Anti-HSPB8 Antibody (1K143) 是一种 Rabbit 抗体,靶向 HSPB8。Anti-HSPB8 Antibody (1K143) 可用于 ICC/IF,IHC,WB。

规格价格库存数量
50 μL
¥ 1,495
5日内发货
100 μL
¥ 2,490
5日内发货
大包装 & 定制
加入购物车
TargetMol 的所有产品仅用作科学研究或药证申报,不能被用于人体,我们不向个人提供产品和服务。请您遵守承诺用途,不得违反法律法规规定用于任何其他用途。
实验操作小课堂
常见问题解答
查看更多
联系我们获取更多批次信息
资源下载

产品介绍

生物活性
产品描述
Anti-HSPB8 Antibody (1K143) is a Rabbit antibody targeting HSPB8. Anti-HSPB8 Antibody (1K143) can be used in ICC/IF,IHC,WB.
别名α-crystallin C chain, Small stress protein-like protein HSP22, Protein kinase H11, HspB8, HSP22, Heat shock protein β-8, Heat shock protein beta-8, E2-induced gene 1 protein, E2IG1, CRYAC, Alpha-crystallin C chain
Ig Type
IgG
克隆号
1K143
交叉反应
Human,Mouse,Rat
验证活性
1. Western blot analysis of Hsp22 on different lysates using anti-Hsp22 antibody at 1/1,000 dilution. Positive control: Lane 1: HepG2, Lane 2: Mouse skeletal muscle.
2. Immunohistochemical analysis of paraffin-embedded mouse brain tissue using anti-Hsp22 antibody. Counter stained with hematoxylin.
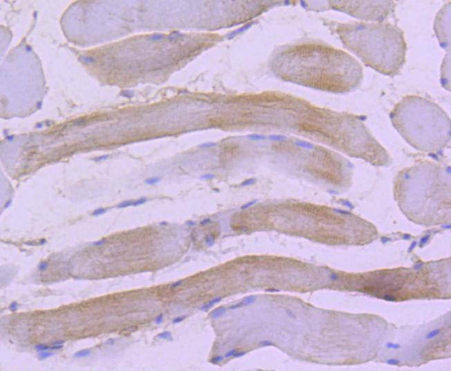
3. Immunohistochemical analysis of paraffin-embedded rat skeletal muscle tissue using anti-Hsp22 antibody. Counter stained with hematoxylin.
4. ICC staining Hsp22 in Hela cells (green). The nuclear counter stain is DAPI (blue). Cells were fixed in paraformaldehyde, permeabilised with 0.25% Triton X100/PBS.
5. ICC staining Hsp22 in A431 cells (green). The nuclear counter stain is DAPI (blue). Cells were fixed in paraformaldehyde, permeabilised with 0.25% Triton X100/PBS.
6. ICC staining Hsp22 in SH-SY-5Y cells (green). The nuclear counter stain is DAPI (blue). Cells were fixed in paraformaldehyde, permeabilised with 0.25% Triton X100/PBS.
verifiedActivityverifiedActivityverifiedActivityverifiedActivityverifiedActivityverifiedActivity
应用ICC/IFIHCWB
推荐剂量
WB: 1:1000-2000; IHC: 1:50-200; ICC/IF: 1:100-500
抗体种类
Monoclonal
宿主来源Rabbit
构建方式Recombinant Antibody
纯化方式ProA affinity purified
性状Liquid
缓冲液1*TBS (pH7.4), 1%BSA, 40%Glycerol. Preservative: 0.05% Sodium Azide.
研究背景Crystallins are the major proteins expressed in the vertebrate eye lens, where they maintain the transparency and refractive index of the lens. Crystallins are divided into a, b and g families; b and g-crystallins compose a superfamily. Crystallins usually contain seven distinctive protein regions, including four homologous motifs, a connecting peptide, and N- and C-terminal extensions. a-crystallins consist of three gene products, aA, aB and aC-crystallin, which are members of the small heat shock protein family (HSP20). They are induced by heat shock, and act as molecular chaperones by holding denatured proteins in large soluble aggregates. However, unlike other molecular chaperones, a-crystallins do not renature these proteins. Research indicates that binding occurs between membranes and aC-crystallin. The binding site appears to be at the polar-apolar interface in membrane protein (MIP26) and aC-crystallin; the lipid bilayer becomes less mobile with aC-crystallin binding.
偶联与修饰
偶联
Unconjugated
抗原信息
免疫原
Recombinant Protein
Uniprot ID
化学信息
分子量Theoretical: 22 kDa.
存储&运输
储存方式Store at -20°C or -80°C for 12 months. Avoid repeated freeze-thaw cycles.
运输方式Shipping with blue ice.

计算器

  • 稀释 计算器

关键词

评论列表

4个月前
5.0
Rating icon 很棒

评论内容

Related Tags: buy Anti-HSPB8 Antibody (1K143) | purchase Anti-HSPB8 Antibody (1K143) | Anti-HSPB8 Antibody (1K143) cost | order Anti-HSPB8 Antibody (1K143) | Anti-HSPB8 Antibody (1K143) molecular weight