购物车
  • TargetMol
    您的购物车当前为空

Anti-HADHSC Antibody (1K241)

Synonyms: Short-chain 3-hydroxyacyl-CoA dehydrogenase, short chain 3-hydroxyacyl-coa dehydrogenase, Short chain 3 hydroxyacyl CoA dehydrogenase mitochondrial, SCHAD, formerly, SCHAD, OTTHUMP00000219688, OTTHUMP00000162626, MSCHAD, mitochondrial, MGC8392, Medium and short-chain L-3-hydroxyacyl-coenzyme A dehydrogenase, Medium and short chain L 3 hydroxyacyl coenzyme A dehydrogenase, M SCHAD, L 3 hydroxyacyl Coenzyme A dehydrogenase short chain, hydroxyacyl-coenzyme A dehydrogenase, mitochondrial, Hydroxyacyl-coenzyme A dehydrogenase, Hydroxyacyl CoA dehydrogenase, HHF4, HCDH_HUMAN, HCDH, HADSC, formerly, HADHSC, formerly, HADHSC, HADH1, HADH, HAD, 3 hydroxyacyl Coenzyme A dehydrogenase
货号 TMAC-01751 一键复制产品信息
Rating icon 还可以

Anti-HADHSC Antibody (1K241) 是一种 Mouse 抗体,靶向 HADHSC。Anti-HADHSC Antibody (1K241) 可用于 ICC,IHC,WB。

Anti-HADHSC Antibody (1K241)

一键复制产品信息
Rating icon 还可以
货号 TMAC-01751

别名 Short-chain 3-hydroxyacyl-CoA dehydrogenase, short chain 3-hydroxyacyl-coa dehydrogenase, Short chain 3 hydroxyacyl CoA dehydrogenase mitochondrial, SCHAD, formerly, SCHAD, OTTHUMP00000219688, OTTHUMP00000162626, MSCHAD, mitochondrial, MGC8392, Medium and short-chain L-3-hydroxyacyl-coenzyme A dehydrogenase, Medium and short chain L 3 hydroxyacyl coenzyme A dehydrogenase, M SCHAD, L 3 hydroxyacyl Coenzyme A dehydrogenase short chain, hydroxyacyl-coenzyme A dehydrogenase, mitochondrial, Hydroxyacyl-coenzyme A dehydrogenase, Hydroxyacyl CoA dehydrogenase, HHF4, HCDH_HUMAN, HCDH, HADSC, formerly, HADHSC, formerly, HADHSC, HADH1, HADH, HAD, 3 hydroxyacyl Coenzyme A dehydrogenase

Anti-HADHSC Antibody (1K241) 是一种 Mouse 抗体,靶向 HADHSC。Anti-HADHSC Antibody (1K241) 可用于 ICC,IHC,WB。

Anti-HADHSC Antibody (1K241)
规格价格库存数量
50 μL
¥ 1,985
5日内发货
100 μL
¥ 2,990
5日内发货
库存状态实时更新,以官网显示为准,现货产品可直接加购物车下单
大包装 & 定制
加入购物车

TargetMol的所有产品仅用作科学研究或药证申报,不能被用于人体,我们不向个人提供产品和服务。请您遵守承诺用途,不得违反法律法规规定用于任何其他用途。

实验操作小课堂
常见问题解答
查看更多

资源下载:产品操作手册

产品介绍


生物活性
产品描述
Anti-HADHSC Antibody (1K241) is a Mouse antibody targeting HADHSC. Anti-HADHSC Antibody (1K241) can be used in ICC,IHC,WB.
别名
Short-chain 3-hydroxyacyl-CoA dehydrogenase, short chain 3-hydroxyacyl-coa dehydrogenase, Short chain 3 hydroxyacyl CoA dehydrogenase mitochondrial, SCHAD, formerly, SCHAD, OTTHUMP00000219688, OTTHUMP00000162626, MSCHAD, mitochondrial, MGC8392, Medium and short-chain L-3-hydroxyacyl-coenzyme A dehydrogenase, Medium and short chain L 3 hydroxyacyl coenzyme A dehydrogenase, M SCHAD, L 3 hydroxyacyl Coenzyme A dehydrogenase short chain, hydroxyacyl-coenzyme A dehydrogenase, mitochondrial, Hydroxyacyl-coenzyme A dehydrogenase, Hydroxyacyl CoA dehydrogenase, HHF4, HCDH_HUMAN, HCDH, HADSC, formerly, HADHSC, formerly, HADHSC, HADH1, HADH, HAD, 3 hydroxyacyl Coenzyme A dehydrogenase
克隆号
1K241
反应种属
Human,Mouse,zebrafish
验证活性
1. Western blot analysis of HADH on different lysates with HADH at 1/1,000 dilution. Lane 1: HepG2 cell lysate (20 ug/Lane), Lane 2: HeLa cell lysate (20 ug/Lane), Lane 3: HT-29 cell lysate (20 ug/Lane), Lane 4: HL-60 cell lysate (20 ug/Lane), Lane 5: A431 cell lysate (20 ug/Lane), Lane 6: K-562 cell lysate (20 ug/Lane), Lane 7: Human liver tissue lysate (40 ug/Lane), Lane 8: Mouse liver tissue lysate (40 ug/Lane), Lane 9: Mouse heart tissue lysate (40 ug/Lane), Lane 10: Rat liver tissue lysate (40 ug/Lane), Lane 11: Rat heart tissue lysate (40 ug/Lane), Lane 12: Zebrafish tissue lysate (40 ug/Lane), Predicted band size: 34 kDa, Observed band size: 34 kDa.
2. Immunocytochemistry analysis of HeLa cells labeling HADH at 1/100 dilution.
Cells were fixed in 4% paraformaldehyde for 20 minutes at room temperature, permeabilized with 0.1% Triton X-100 in PBS for 5 minutes at room temperature, then blocked with 1% BSA in 10% negative goat serum for 1 hour at room temperature. Cells were then incubated with HADH at 1/100 dilution in 1% BSA in PBST overnight at 4 ℃. Goat Anti-Mouse IgG H&L (iFluor 488) was used as the secondary antibody at 1/1,000 dilution. PBS instead of the primary antibody was used as the secondary antibody only control. Nuclear DNA was labelled in blue with DAPI.
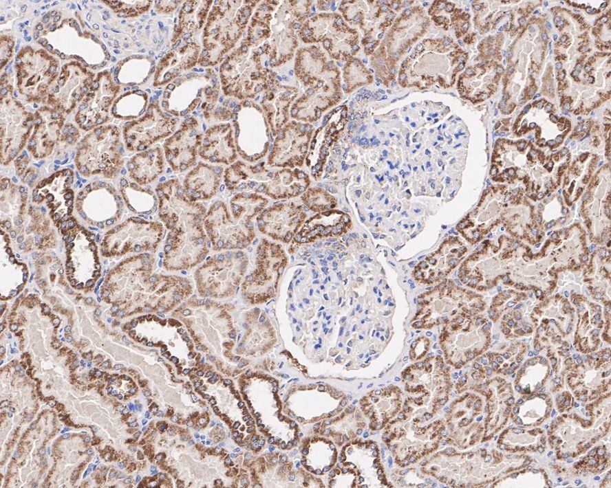
3. Immunohistochemical analysis of paraffin-embedded human kidney tissue with HADH at 1/1,000 dilution.The section was pre-treated using heat mediated antigen retrieval with Tris-EDTA buffer (pH 9.0) for 20 minutes. The tissues were blocked in 1% BSA for 20 minutes at room temperature, washed with ddH2O and PBS, and then probed with the primary antibody at 1/1,000 dilution for 1 hour at room temperature. The detection was performed using an HRP conjugated compact polymer system. DAB was used as the chromogen. Tissues were counterstained with hematoxylin and mounted with DPX.
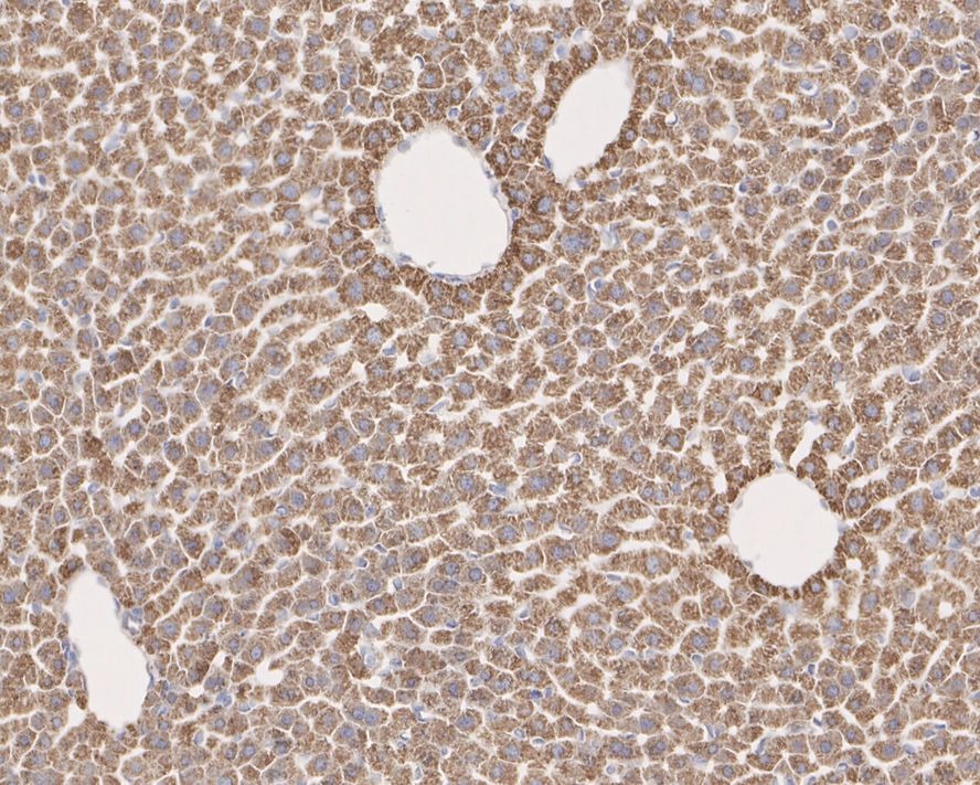
4. Immunohistochemical analysis of paraffin-embedded mouse liver tissue with HADH at 1/1,000 dilution. The section was pre-treated using heat mediated antigen retrieval with Tris-EDTA buffer (pH 9.0) for 20 minutes. The tissues were blocked in 1% BSA for 20 minutes at room temperature, washed with ddH2O and PBS, and then probed with the primary antibody at 1/1,000 dilution for 1 hour at room temperature. The detection was performed using an HRP conjugated compact polymer system. DAB was used as the chromogen. Tissues were counterstained with hematoxylin and mounted with DPX.
5. Immunohistochemical analysis of paraffin-embedded rat liver tissue with HADH at 1/1,000 dilution. The section was pre-treated using heat mediated antigen retrieval with Tris-EDTA buffer (pH 9.0) for 20 minutes. The tissues were blocked in 1% BSA for 20 minutes at room temperature, washed with ddH2O and PBS, and then probed with the primary antibody at 1/1,000 dilution for 1 hour at room temperature. The detection was performed using an HRP conjugated compact polymer system. DAB was used as the chromogen. Tissues were counterstained with hematoxylin and mounted with DPX.
verifiedActivityverifiedActivityverifiedActivityverifiedActivityverifiedActivity
应用ICCIHCWB
推荐剂量
WB: 1:1000-2000; ICC: 1:500
抗体种类
Monoclonal
宿主来源Mouse
构建方式Hybridoma Monoclonal Antibody
纯化方式ProA affinity purified
性状Liquid
缓冲液1*TBS (pH7.4), 0.5%BSA, 40%Glycerol. Preservative: 0.05% Sodium Azide.
研究背景Hydroxyacyl-Coenzyme A dehydrogenase also known as HADH is an enzyme which in humans is encoded by the HADH gene. This gene is a member of the 3-hydroxyacyl-CoA dehydrogenase gene family. The encoded protein functions in the mitochondrial matrix to catalyze the oxidation of straight-chain 3-hydroxyacyl-CoAs as part of the beta-oxidation pathway. Its enzymatic activity is highest with medium-chain-length fatty acids. Mutations in this gene cause one form of familial hyperinsulinemic hypoglycemia. A deficiency is associated with 3-hydroxyacyl-coenzyme A dehydrogenase deficiency.
偶联与修饰
偶联
Unconjugated
抗原信息
免疫原
Peptide
Uniprot ID
化学信息
分子量Theoretical: 34 kDa.
储存&溶解度
储存方式Store at -20°C or -80°C for 12 months. Avoid repeated freeze-thaw cycles.
运输方式Shipping with blue ice.

计算器

  • 稀释 计算器
  • 配液 计算器
Related Tags: buy Anti-HADHSC Antibody (1K241) | purchase Anti-HADHSC Antibody (1K241) | Anti-HADHSC Antibody (1K241) cost | order Anti-HADHSC Antibody (1K241) | Anti-HADHSC Antibody (1K241) molecular weight