购物车
  • 全部删除
  • TargetMol
    您的购物车当前为空

Anti-FHL2 Antibody (9R411)

一键复制产品信息
Rating icon 还可以
产品编号 TMAC-01482
别名 SLIM-3, SLIM3, SLIM 3, Skeletal muscle LIM-protein 3, Skeletal muscle LIM protein 3, LIM domain protein DRAL, KIAA0990, Four and a half LIM domains protein 2, Four and a half LIM domains 2, Four and a half LIM domain protein 2, FHL2_HUMAN, FHL2 protein, FHL-2, Fhl2, FHL 2, DRAL, Downregulated in rhabdomyosarcoma LIM protein, Down regulated in rhabdomyosarcoma LIM protein, Aging associated gene 11, AAG11, AAG 11

Anti-FHL2 Antibody (9R411) 是一种 Rabbit 抗体,靶向 FHL2。Anti-FHL2 Antibody (9R411) 可用于 IHC,IP,WB。

Anti-FHL2 Antibody (9R411)

Anti-FHL2 Antibody (9R411)

一键复制产品信息
Rating icon 还可以
产品编号 TMAC-01482 别名 SLIM-3, SLIM3, SLIM 3, Skeletal muscle LIM-protein 3, Skeletal muscle LIM protein 3, LIM domain protein DRAL, KIAA0990, Four and a half LIM domains protein 2, Four and a half LIM domains 2, Four and a half LIM domain protein 2, FHL2_HUMAN, FHL2 protein, FHL-2, Fhl2, FHL 2, DRAL, Downregulated in rhabdomyosarcoma LIM protein, Down regulated in rhabdomyosarcoma LIM protein, Aging associated gene 11, AAG11, AAG 11

Anti-FHL2 Antibody (9R411) 是一种 Rabbit 抗体,靶向 FHL2。Anti-FHL2 Antibody (9R411) 可用于 IHC,IP,WB。

规格价格库存数量
50 μL
¥ 1,485
5日内发货
100 μL
¥ 2,490
5日内发货
大包装 & 定制
加入购物车
TargetMol 的所有产品仅用作科学研究或药证申报,不能被用于人体,我们不向个人提供产品和服务。请您遵守承诺用途,不得违反法律法规规定用于任何其他用途。
实验操作小课堂
常见问题解答
查看更多
联系我们获取更多批次信息
资源下载

产品介绍

生物活性
产品描述
Anti-FHL2 Antibody (9R411) is a Rabbit antibody targeting FHL2. Anti-FHL2 Antibody (9R411) can be used in IHC,IP,WB.
别名SLIM-3, SLIM3, SLIM 3, Skeletal muscle LIM-protein 3, Skeletal muscle LIM protein 3, LIM domain protein DRAL, KIAA0990, Four and a half LIM domains protein 2, Four and a half LIM domains 2, Four and a half LIM domain protein 2, FHL2_HUMAN, FHL2 protein, FHL-2, Fhl2, FHL 2, DRAL, Downregulated in rhabdomyosarcoma LIM protein, Down regulated in rhabdomyosarcoma LIM protein, Aging associated gene 11, AAG11, AAG 11
Ig Type
IgG
克隆号
9R411
交叉反应
Human,Mouse,Rat
验证活性
1. Western blot analysis of FHL2 on different tissue lysates using anti-FHL2 antibody at 1/1,000 dilution. Positive control: Lane 1: Rat heart, Lane 2: Mouse heart.
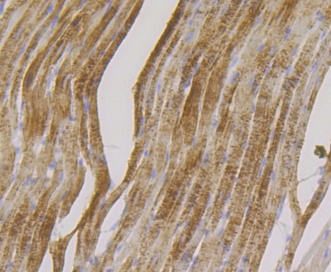
2. Immunohistochemical analysis of paraffin-embedded rat heart tissue using anti-FHL2 antibody. Counter stained with hematoxylin.
3. Immunohistochemical analysis of paraffin-embedded human fetal heart tissue using anti-FHL2 antibody. Counter stained with hematoxylin.
4. Immunohistochemical analysis of paraffin-embedded mouse heart tissue using anti-FHL2 antibody. Counter stained with hematoxylin.
verifiedActivityverifiedActivityverifiedActivityverifiedActivity
应用IHCIPWB
推荐剂量
WB: 1:500-2000; IHC: 1:50-200; IP: 1:10-50
抗体种类
Monoclonal
宿主来源Rabbit
构建方式Recombinant Antibody
纯化方式ProA affinity purified
性状Liquid
缓冲液1*TBS (pH7.4), 1%BSA, 40%Glycerol. Preservative: 0.05% Sodium Azide.
研究背景The four-and-a-half-LIM domain (FHL) proteins include FHL-1 (SLIM1), FHL-2 (SLIM3), FHL-3 (SLIM2) and FHL-4. The signature "half-domain", a single zinc finger domain located in the N-terminal region, differentiates FHLs from other LIM-only proteins, which have numbers of zinc fingers. Specific combinations of FHL proteins elicit selective activation of both CREB and CREM. Skeletal and cardiac muscle express FHL-1 in high levels as compared to the low level of expression in smooth muscle of the colon, small intestine and prostate. FHL-1 localizes to the cytosol of myoblasts, myotubes, and differentiated myocytes. FHL-2 is also located in cardiac and skeletal muscle, as well as in placenta and ovary tissues. FHL-3 is found in skeletal muscle, but absent in cardiac muscle. FHL-4 is expressed exclusively by the seminiferous epithelium of the testis, which suggests that FHL-4 is involved in spermatogenesis. The genetic loci for FHLs vary considerably despite similiar amino acid sequences among the FHL group.
偶联与修饰
偶联
Unconjugated
抗原信息
免疫原
Recombinant Protein: within C-terminal human FHL2
抗原种属
human
Uniprot ID
化学信息
分子量Theoretical: 32 kDa.
存储&运输
储存方式Store at -20°C or -80°C for 12 months. Avoid repeated freeze-thaw cycles.
运输方式Shipping with blue ice.

计算器

  • 稀释 计算器

评论列表

4个月前
5.0
Rating icon 很棒

评论内容

Related Tags: buy Anti-FHL2 Antibody (9R411) | purchase Anti-FHL2 Antibody (9R411) | Anti-FHL2 Antibody (9R411) cost | order Anti-FHL2 Antibody (9R411) | Anti-FHL2 Antibody (9R411) molecular weight