购物车
  • 全部删除
  • TargetMol
    您的购物车当前为空

Anti-Ferritin light chain Antibody (9K512)

一键复制产品信息
Rating icon 还可以
产品编号 TMAC-01457
别名 NBIA3, MGC71996, LFTD, ferritin, light polypeptide

Anti-Ferritin light chain Antibody (9K512) 是一种 Rabbit 抗体,靶向 Ferritin light chain。Anti-Ferritin light chain Antibody (9K512) 可用于 ICC,IHC,IP,WB。

Anti-Ferritin light chain Antibody (9K512)

Anti-Ferritin light chain Antibody (9K512)

一键复制产品信息
Rating icon 还可以
产品编号 TMAC-01457 别名 NBIA3, MGC71996, LFTD, ferritin, light polypeptide

Anti-Ferritin light chain Antibody (9K512) 是一种 Rabbit 抗体,靶向 Ferritin light chain。Anti-Ferritin light chain Antibody (9K512) 可用于 ICC,IHC,IP,WB。

规格价格库存数量
50 μL
¥ 1,490
5日内发货
100 μL
¥ 2,485
5日内发货
大包装 & 定制
加入购物车
TargetMol 的所有产品仅用作科学研究或药证申报,不能被用于人体,我们不向个人提供产品和服务。请您遵守承诺用途,不得违反法律法规规定用于任何其他用途。
实验操作小课堂
常见问题解答
查看更多
联系我们获取更多批次信息
资源下载

产品介绍

生物活性
产品描述
Anti-Ferritin light chain Antibody (9K512) is a Rabbit antibody targeting Ferritin light chain. Anti-Ferritin light chain Antibody (9K512) can be used in ICC,IHC,IP,WB.
别名NBIA3, MGC71996, LFTD, ferritin, light polypeptide
Ig Type
IgG
克隆号
9K512
交叉反应
Human,Mouse,Rat
验证活性
1. Western blot analysis of Ferritin Light Chain on rat liver tissue lysate using anti-Ferritin Light Chain antibody at 1/1,000 dilution.
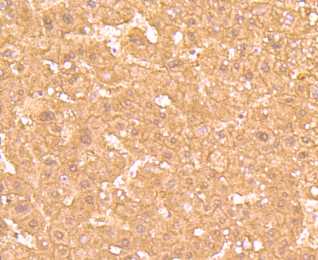
2. Immunohistochemical analysis of paraffin-embedded human liver tissue using anti-Ferritin Light Chain antibody. Counter stained with hematoxylin.
3. Immunohistochemical analysis of paraffin-embedded human brain tissue using anti-Ferritin Light Chain antibody. Counter stained with hematoxylin.
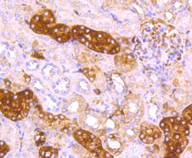
4. Immunohistochemical analysis of paraffin-embedded human kidney tissue using anti-Ferritin Light Chain antibody. Counter stained with hematoxylin.
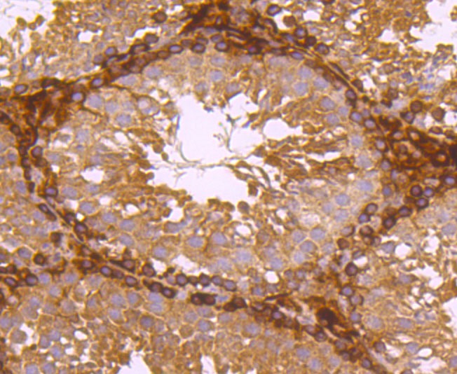
5. Immunohistochemical analysis of paraffin-embedded mouse testes tissue using anti-Ferritin Light Chain antibody. Counter stained with hematoxylin.
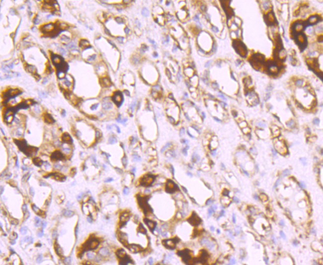
6. Immunohistochemical analysis of paraffin-embedded mouse kidney tissue using anti-Ferritin Light Chain antibody. Counter stained with hematoxylin.
verifiedActivityverifiedActivityverifiedActivityverifiedActivityverifiedActivityverifiedActivity
应用ICCIHCIPWB
推荐剂量
WB: 1:1000-5000; IHC: 1:100-500; ICC: 1:100-200
抗体种类
Monoclonal
宿主来源Rabbit
构建方式Recombinant Antibody
纯化方式ProA affinity purified
性状Liquid
缓冲液1*TBS (pH7.4), 1%BSA, 40%Glycerol. Preservative: 0.05% Sodium Azide.
研究背景Mammalian ferritins consist of 24 subunits made up of two types of polypeptide chains, ferritin heavy chain and ferritin light chain, which each have unique functions. Ferritin heavy chains catalyze the first step in iron storage, the oxidation of Fe (II), whereas ferritin light chains promote the nucleation of ferrihydrite, enabling storage of Fe (III). The most prominent role of mammalian ferritins is to provide iron-buffering capacity to cells. In addition to iron buffering, heavy chain ferritin is also involved in the regulation of thymidine biosynthesis via increased expression of cytoplasmic serine hydroxymethyltransferase, which is a limiting factor in thymidylate synthesis in MCF-7 cells. Light chain ferritin is involved in cataracts by at least two mechanisms, hereditary hyperferritinemia cataract syndrome, in which light chain ferritin is overexpressed, and oxidative stress, an important factor in the development of ageing-related cataracts. The gene encoding human ferritin heavy chain maps to chromosome 11q13 and the human ferritin light chain gene maps to chromosome 19q13.3-q13.4.
偶联与修饰
偶联
Unconjugated
抗原信息
免疫原
Recombinant Protein
Uniprot ID
化学信息
分子量Theoretical: 54 kDa.
存储&运输
储存方式Store at -20°C or -80°C for 12 months. Avoid repeated freeze-thaw cycles.
运输方式Shipping with blue ice.

计算器

  • 稀释 计算器

关键词

评论列表

4个月前
5.0
Rating icon 很棒

评论内容

Related Tags: buy Anti-Ferritin light chain Antibody (9K512) | purchase Anti-Ferritin light chain Antibody (9K512) | Anti-Ferritin light chain Antibody (9K512) cost | order Anti-Ferritin light chain Antibody (9K512) | Anti-Ferritin light chain Antibody (9K512) molecular weight