购物车
  • TargetMol
    您的购物车当前为空

Anti-Apg3 Antibody (1O195)

Synonyms: Ubiquitin-like-conjugating enzyme ATG3, Protein PC3-96, PC3 96, OTTHUMP00000214548, OTTHUMP00000214547, MGC15201, hApg3, FLJ22125, DKFZp564M1178, Autophagy-related protein 3, Autophagy related protein 3, autophagy related 3, Autophagy Apg3p/Aut1p like, Autophagy 3, S. cerevisiae, homolog of, ATG3_HUMAN, ATG3 autophagy related 3 homolog (S. cerevisiae), ATG3 autophagy related 3 homolog, ATG3, ATG 3, Apg3p, APG3-like, APG3L, APG3, S. cerevisiae, homolog of, APG3 like, APG3 autophagy 3 like, APG3, Apg 3, 2610016C12Rik
货号 TMAC-00242 一键复制产品信息
Rating icon 还可以

Anti-Apg3 Antibody (1O195) 是一种 Rabbit 抗体,靶向 Apg3。Anti-Apg3 Antibody (1O195) 可用于 IHC,WB。

Anti-Apg3 Antibody (1O195)

一键复制产品信息
Rating icon 还可以
货号 TMAC-00242

别名 Ubiquitin-like-conjugating enzyme ATG3, Protein PC3-96, PC3 96, OTTHUMP00000214548, OTTHUMP00000214547, MGC15201, hApg3, FLJ22125, DKFZp564M1178, Autophagy-related protein 3, Autophagy related protein 3, autophagy related 3, Autophagy Apg3p/Aut1p like, Autophagy 3, S. cerevisiae, homolog of, ATG3_HUMAN, ATG3 autophagy related 3 homolog (S. cerevisiae), ATG3 autophagy related 3 homolog, ATG3, ATG 3, Apg3p, APG3-like, APG3L, APG3, S. cerevisiae, homolog of, APG3 like, APG3 autophagy 3 like, APG3, Apg 3, 2610016C12Rik

Anti-Apg3 Antibody (1O195) 是一种 Rabbit 抗体,靶向 Apg3。Anti-Apg3 Antibody (1O195) 可用于 IHC,WB。

Anti-Apg3 Antibody (1O195)
规格价格库存数量
50 μL
¥ 1,495
5日内发货
100 μL
¥ 2,485
5日内发货
库存状态实时更新,以官网显示为准,现货产品可直接加购物车下单
大包装 & 定制
加入购物车

TargetMol的所有产品仅用作科学研究或药证申报,不能被用于人体,我们不向个人提供产品和服务。请您遵守承诺用途,不得违反法律法规规定用于任何其他用途。

实验操作小课堂
常见问题解答
查看更多

资源下载:产品操作手册

产品介绍


生物活性
产品描述
Anti-Apg3 Antibody (1O195) is a Rabbit antibody targeting Apg3. Anti-Apg3 Antibody (1O195) can be used in IHC,WB.
别名
Ubiquitin-like-conjugating enzyme ATG3, Protein PC3-96, PC3 96, OTTHUMP00000214548, OTTHUMP00000214547, MGC15201, hApg3, FLJ22125, DKFZp564M1178, Autophagy-related protein 3, Autophagy related protein 3, autophagy related 3, Autophagy Apg3p/Aut1p like, Autophagy 3, S. cerevisiae, homolog of, ATG3_HUMAN, ATG3 autophagy related 3 homolog (S. cerevisiae), ATG3 autophagy related 3 homolog, ATG3, ATG 3, Apg3p, APG3-like, APG3L, APG3, S. cerevisiae, homolog of, APG3 like, APG3 autophagy 3 like, APG3, Apg 3, 2610016C12Rik
Ig Type
IgG
克隆号
1O195
反应种属
Human,Mouse,Rat
验证活性
1. Western blot analysis of Apg3 on different lysates using anti-Apg3 antibody at 1/500 dilution.Positive control:Lane 1: Mouse testis tissue, Lane 2: K562, Lane 3: HL-60, Lane 4: Hela, Lane 5: Jurkat.
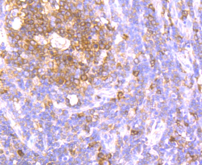
2. Immunohistochemical analysis of paraffin-embedded human tonsil tissue using anti-Apg3 antibody. Counter stained with hematoxylin.
3. Immunohistochemical analysis of paraffin-embedded human thyroid gland tissue using anti-Apg3 antibody. Counter stained with hematoxylin.
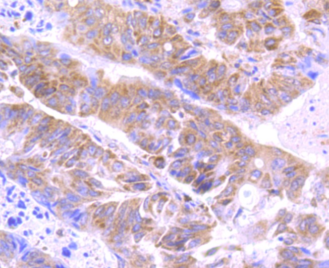
4. Immunohistochemical analysis of paraffin-embedded human colon cancer tissue using anti-Apg3 antibody. Counter stained with hematoxylin.
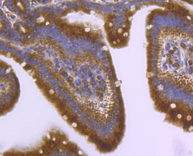
5. Immunohistochemical analysis of paraffin-embedded mouse small intestine tissue using anti-Apg3 antibody. Counter stained with hematoxylin.
verifiedActivityverifiedActivityverifiedActivityverifiedActivityverifiedActivity
应用IHCWB
推荐剂量
WB: 1:500-2000; IHC: 1:50-200
抗体种类
Monoclonal
宿主来源Rabbit
构建方式Recombinant Antibody
纯化方式ProA affinity purified
性状Liquid
缓冲液1*TBS (pH7.4), 1%BSA, 40%Glycerol. Preservative: 0.05% Sodium Azide.
研究背景Atg3 (autophagy-related protein 3), also known as APG3-like, hAPG3 or PC3-96, is an E2-like enzyme that localizes to the cytoplasm and is expressed in a variety of tissues with predominant levels found in kidney, placenta, liver, heart and skeletal muscle. Atg3 catalyzes the formation of the Atg8-phosphatidylethanolamine (Atg8-PE) conjugate, a reaction that is essential for autophagy (a cellular process that allows for the degradation of organelles and bulk cellular proteins). The process of forming the Atg8-PE conjugate begins with the removal of the C-terminal arginine residue of Atg8 by Atg4, a cysteine protease. The, now exposed, glycine residue is then activated by Atg7 and is then transferred to Atg3 for the final conjugation to PE. This last step can be accelerated by the presence of the Atg12-Atg5 conjugate which functions similarly to an E3 enzyme.
偶联与修饰
偶联
Unconjugated
抗原信息
免疫原
Recombinant Protein
化学信息
分子量Theoretical: 40 kDa.
储存&溶解度
储存方式Store at -20°C or -80°C for 12 months. Avoid repeated freeze-thaw cycles.
运输方式Shipping with blue ice.

计算器

  • 稀释 计算器
  • 配液 计算器
Related Tags: buy Anti-Apg3 Antibody (1O195) | purchase Anti-Apg3 Antibody (1O195) | Anti-Apg3 Antibody (1O195) cost | order Anti-Apg3 Antibody (1O195) | Anti-Apg3 Antibody (1O195) molecular weight